Diese Inhalte sind den Nutzenden von Meditricks vorbehalten.
Hier kannst Du einen Zugang erwerben.
Du bist neu hier? Informiere Dich über Meditricks.
Hast Du bereits einen Zugang?
Melde Dich bitte unter 'Profil' an.

Hier eine Vorschau,
wie wir dieses Thema behandeln und wie unsere Eselsbrücken aussehen:
Lungen-CA 3: Diagnostik & Therapie
Basiswissen
-
Diagnostik > Körperliche Untersuchung
Inspektion: Kachexie
Kachektischer Fieberbär
-
Diagnostik > Körperliche Untersuchung
Inspektion: Uhrglasnägel und Trommelschlegelfinger
Baumuhr aus Glas mit Trommelschlegelzeiger und Nägeln
-
Diagnostik > Körperliche Untersuchung
Auskultation: abgeschwächtes Atemgeräusch
Stethoskop auf Ohrenschützern → Atemgeräusch gedämpft
Das Bronchialkarzinom kann Pleuraergüsse, Pneumonien und Atelektasen verursachen, die man bei der Auskultation als fokal abgeschwächtes Atemgeräusch wahrnimmt.
-
Diagnostik > Labor
↑ Harnsäure und LDH
Erhöht: Hahn wirft saures Center-Shock in Milch-Dehydrogenator
Zeichen des vermehrten Zelluntergangs.
-
Diagnostik > Labor
Paraneoplastisch: ↑ Ca
Paraglider: Milch-Tetrapack
Deutet auf eine paraneoplastische Tumorhyperkalziämie hin.
...
Expertenwissen
-
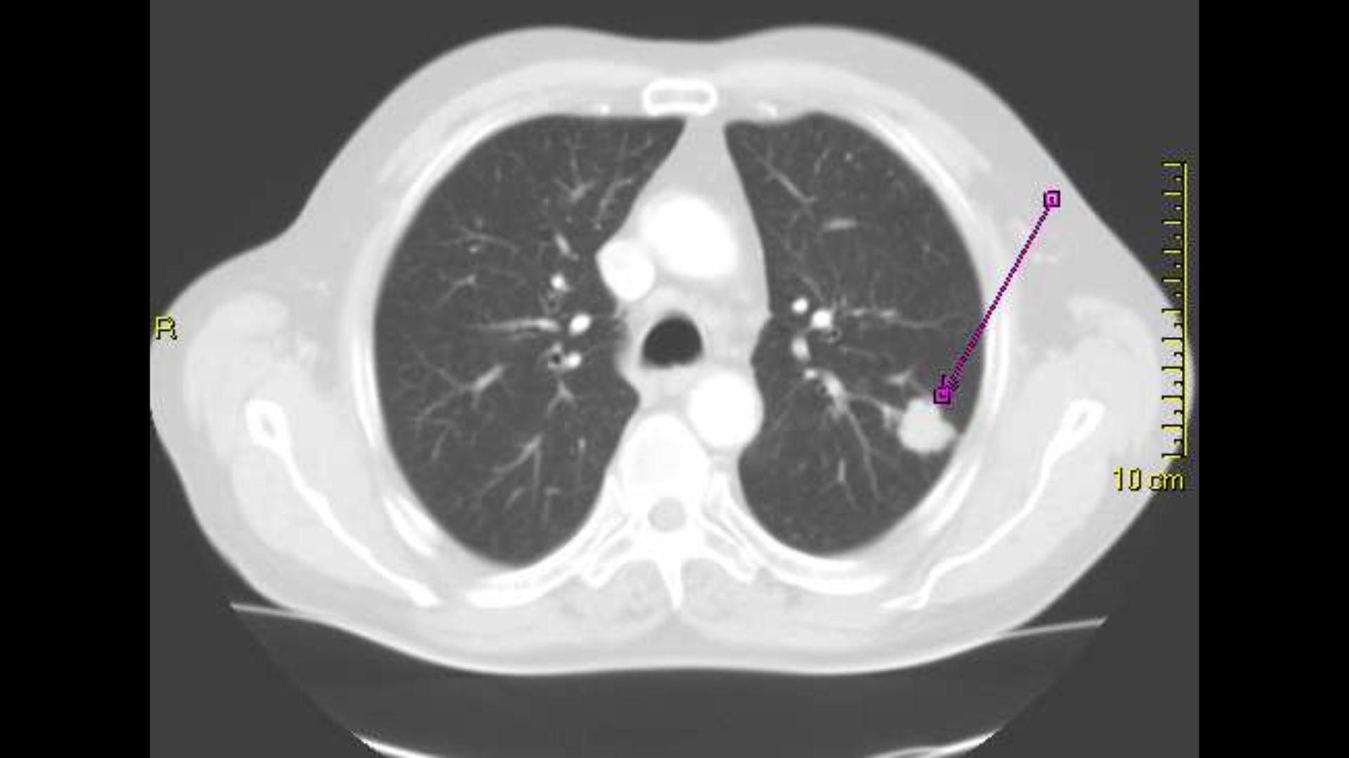
Diagnostik > Bildgebung
Rundherd: Wahrscheinlichkeit für Malignität ↗ bei > 40-Jährigen und Rauchern
Rundherd: Pfirsich und Zigarette
Die Wahrscheinlichkeit, dass einem Lungenrundherd im Röntgen-Thx etwas Malignes zugrunde liegt, ist deutlich höher bei über 40-Jährigen und Rauchern.
-
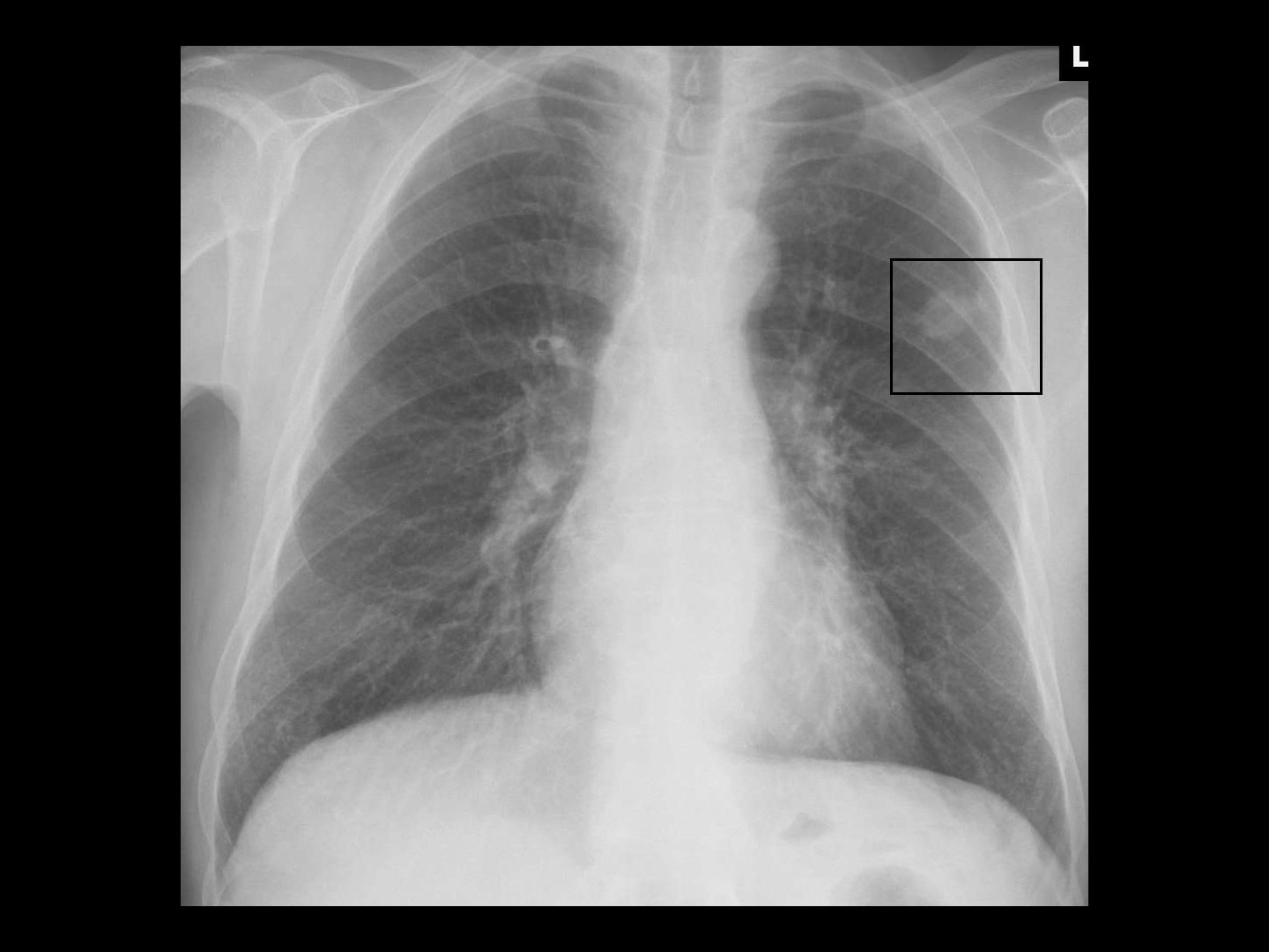
Diagnostik > Bildgebung
Röntgen Rundherd → unscharfe Begrenzung
Rund-Herd: “Unscharf kochen!”
Gewisse Kriterien des Rundherdes deuten auf einen malignen Tumor hin.
-
Diagnostik > Bildgebung
Röntgen Rundherd → Tumorausläufer
Rund-Herd: Laufschuhe
...
Beginne das Lernen mit unseren Eselsbrücken,
werde Teil der Lernrevolution.
Neu
Die 10 neuesten Meditricks:
Gereift unter der Sonne Freiburgs. mit viel Liebe zum Detail ersonnen, illustriert und vertont. Wir übernehmen keine Haftung für nicht mehr löschbare Erinnerungen.


