Diese Inhalte sind den Nutzenden von Meditricks vorbehalten.
Hier kannst Du einen Zugang erwerben.
Du bist neu hier? Informiere Dich über Meditricks.
Hast Du bereits einen Zugang?
Melde Dich bitte unter 'Profil' an.

Hier eine Vorschau,
wie wir dieses Thema behandeln und wie unsere Eselsbrücken aussehen:
AML – Akute Myeloische Leukämie
Basiswissen
-
Definition
AML: Akute myeloische Leukämie
AMerikanischer Landwirt
-
Definition
Maligne Neoplasie der myeloischen Vorläuferzellen
Genveränderter Mais bildet ungehemmt neues Popcorn.
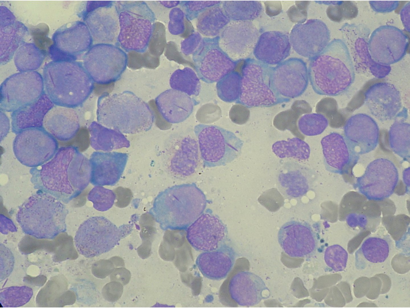
[[Abb. 589]] Die AML ist eine maligne Erkrankung der myeloischen Vorläuferzellen im Knochenmark. Diese entarten und proliferieren ungehemmt.
-
Definition
Häufigkeitsgipfel: 65.Lj
Älterer Bauer
Die AML ist die häufigste Leukämieform des hohen Erwachsenenalters.
-
Risikofaktoren
Downsyndrom
Daunen-Gauner-Gans
Downsyndrom-Patienten haben ein zwanzigfach erhöhtes AML-Risiko.
-
Risikofaktoren
Chemotherapie
Giftgrüne Chemospritze
...
Expertenwissen
-
Klinik > Organinvasion der leukämischen Zellen
Knotiger Hautbefall
Ärmel mit dicken Knoten
-
Komplikationen
Therapie Leukostasesyndrom: Herausfiltern von Leukozyten (Leukozytapherese)
Filtersieb
Das Leukostasesyndrom ist eine Indikation für eine intensivmedizinische Behandlung! Es handelt sich um eine extrakorporale Spülung des Blutes, bei dem gezielt Leukozyten herausgefiltert werden.
-
Therapie
Chemotherapie hepato- und nephrotoxisch
Ängstliche Leber und Niere
Sehr wichtig vor Therapiebeginn ist die Beurteilung von Leber- und Nierenparametern, da viele Chemotherapeutika hepato- und/oder nephrotoxisch sind.
...
Beginne das Lernen mit unseren Eselsbrücken,
werde Teil der Lernrevolution.
Neu
Die 10 neuesten Meditricks:
Gereift unter der Sonne Freiburgs. mit viel Liebe zum Detail ersonnen, illustriert und vertont. Wir übernehmen keine Haftung für nicht mehr löschbare Erinnerungen.
