Diese Inhalte sind den Nutzenden von Meditricks vorbehalten.
Hier kannst Du einen Zugang erwerben.
Du bist neu hier? Informiere Dich über Meditricks.
Hast Du bereits einen Zugang?
Melde Dich bitte unter 'Profil' an.

Hier eine Vorschau,
wie wir dieses Thema behandeln und wie unsere Eselsbrücken aussehen:
Non-Hodgkin-Lymphome
Basiswissen
-
Allgemein
Non Hodgkin Lymphome
Nonnen-Igel
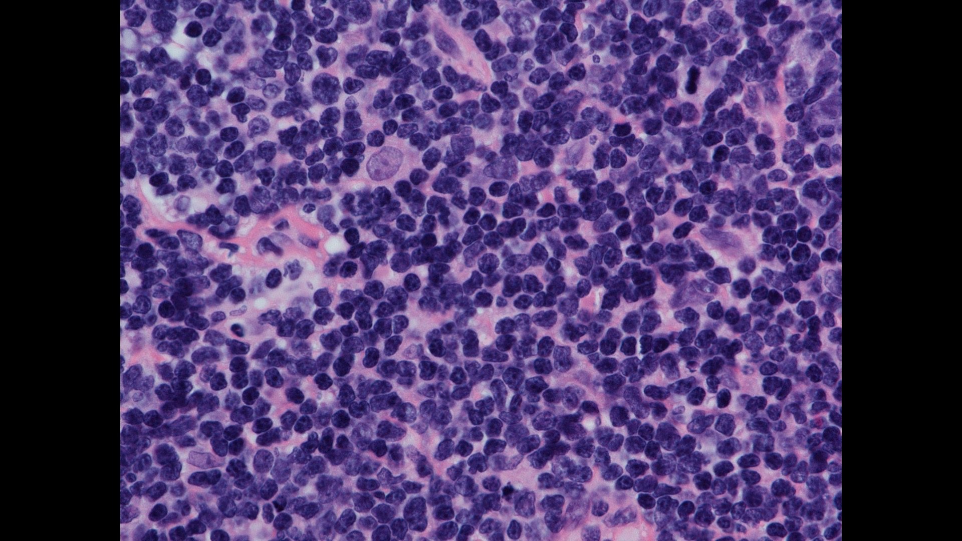
Die Non Hodgkin Lymphome umfassen eine heterogene Gruppe von B- und T-Zell Lymphomen (Tumore).
-
Allgemein
Einteilung nach Malignität und Zelltyp
Alte Herren und aggressive Kinder
Die Non Hodgkin Lymphome unterteilen sich in 4 Kategorien. Diese umfassen niedrigmaligne (indolente) Typen (die alten Herren) und hochmaligne (aggressive) Typen (kleine, aggressive Kinder). Man unterscheidet außerdem NHL der B- oder T-Zellreihe (Babys oder Teetassen).
-
Niedrigmaligne/Indolente NHL
Indolente Non Hodgkin Lymphome
Friedliche Dohle
Indolent heißt eigentlich “schmerzunempfindlich”. Bei den NHL versteht man darunter eine weniger aggressive Form.
-
Niedrigmaligne/Indolente NHL
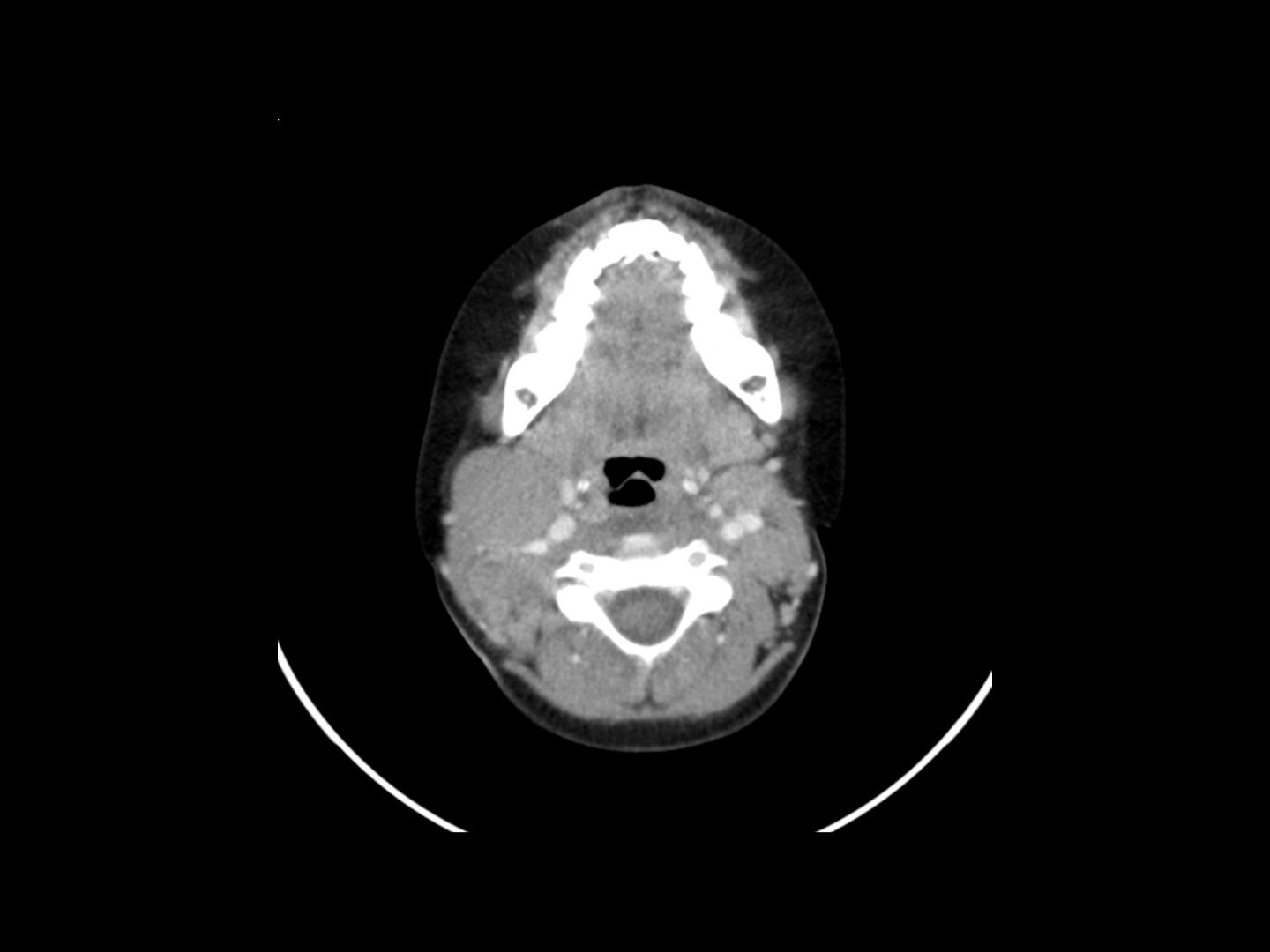
Multiples Myelom (typisch: Schrotschussschädel)
Multipler Müll-Gnom (von Schrot getroffene Schädeltonne)
Das multiple Myelom ist ein Plasmazelltumor, der vom Knochenmark ausgeht. Typisch sind multiple Osteolysen (Schrotschussschädel).
-
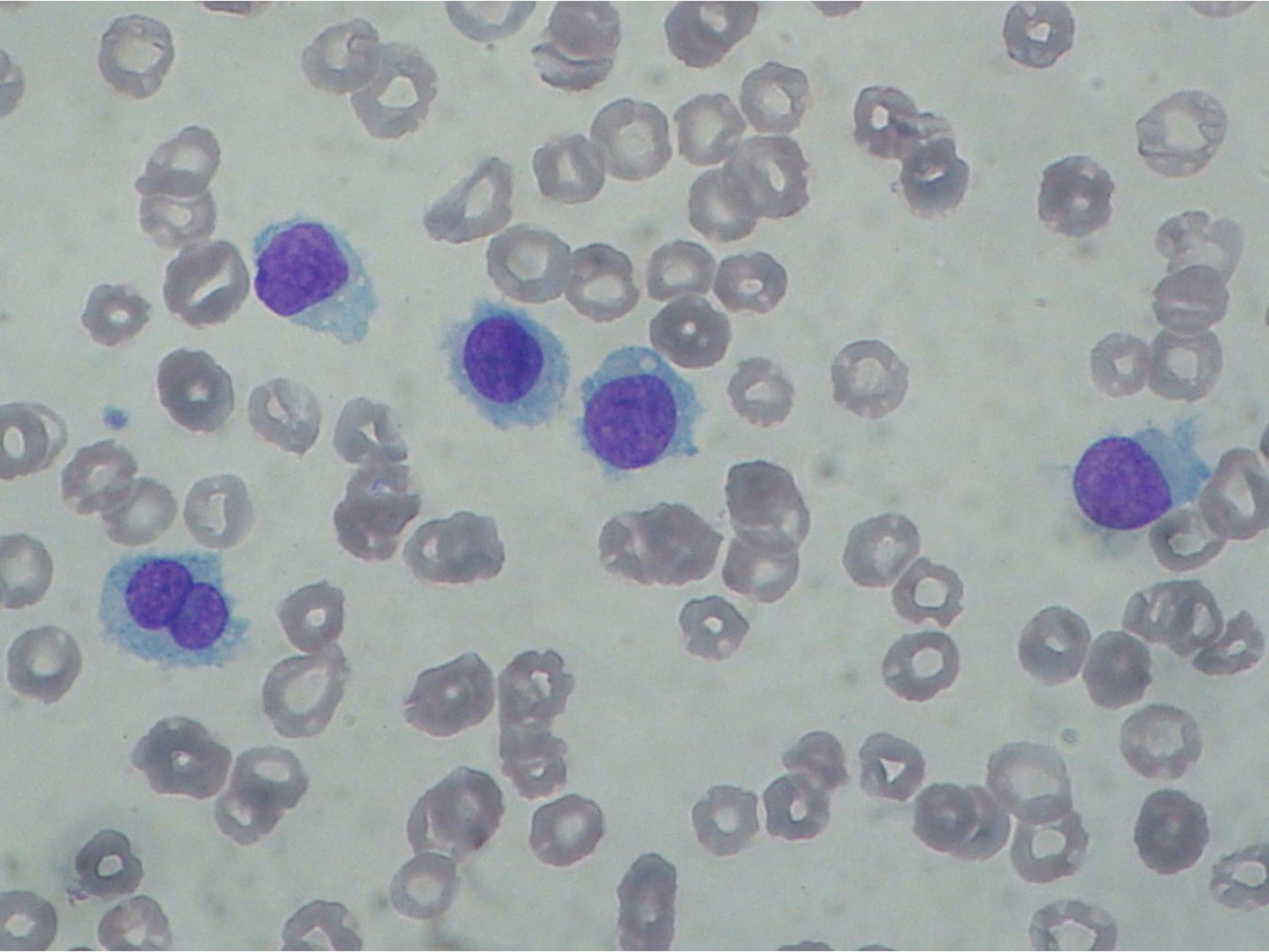
Niedrigmaligne/Indolente NHL
B-CLL
Baby-Zellen
Die B-CLL ist ein kleinzelliges, lymphozytisches Lymphom.
...
Expertenwissen
-
Pathophysiologie und Ätiologie
Risiko: Modifikation der Gene des Immunsystems
Blumen und Ranken in Genform
Die Zellen unseres Immunsystems müssen auf Pathogene reagieren können. Das Immunsystem hat daher physiologisch eine hohe Genvariabilität (DNA-Pflanzen). Viel Veränderung im Erbgut bedeutet aber auch ein höheres Risiko für onkogene Mutationen.
-
Pathophysiologie und Ätiologie
Onkogenetische Viren
Kleine Viren mit Heckenscheren
Onkogene Viren integrieren ihre Gene in die menschliche DNA und sind verantwortlich für einige Subtypen der NHL.
-
Stadien
Stadieneinteilung nach Ann Arbor
Anns Plastik vor Baum (lat. arbor)
...
Beginne das Lernen mit unseren Eselsbrücken,
werde Teil der Lernrevolution.
Neu
Die 10 neuesten Meditricks:
Gereift unter der Sonne Freiburgs. mit viel Liebe zum Detail ersonnen, illustriert und vertont. Wir übernehmen keine Haftung für nicht mehr löschbare Erinnerungen.

