Diese Inhalte sind den Nutzenden von Meditricks vorbehalten.
Hier kannst Du einen Zugang erwerben.
Du bist neu hier? Informiere Dich über Meditricks.
Hast Du bereits einen Zugang?
Melde Dich bitte unter 'Profil' an.

Hier eine Vorschau,
wie wir dieses Thema behandeln und wie unsere Eselsbrücken aussehen:
Hämolytisch-urämisches Syndrom (HUS)
- Das Hämolytisch-urämische Syndrom gehört zur Gruppe der Thrombotischen Mikroangiopathien
- 1. STEC-HUS: ausgelöst durch das Shiga-Toxin nach Infektion mit dem Shiga-Toxin E. coli
- Bekannter Keim, der STEC-HUS auslöst: EHEC
- Im Kindesalter fast immer STEC-HUS
- 2. Komplement-vermittelte Variante durch Gendefekt, Komplementüberaktivität
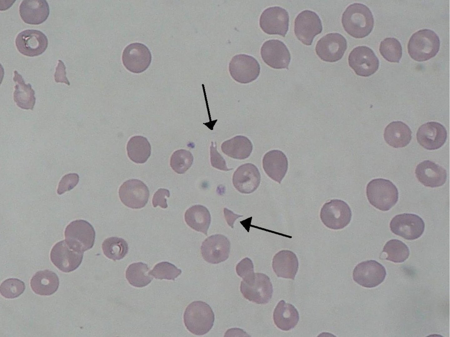
- Hämolytische Anämie mit Fragmentozyten im Ausstrich
- Thrombozytopenie
- Akute Nierenfunktionseinschränkung!
Basiswissen
-
Grundlagen
HUS = hämolytisch-urämisches Syndrom
HUSky
-
Grundlagen
Auch Gasser-Syndrom
Geht gerne Gassi
-
Grundlagen
Thrombotische Mikroangiopathie
Trompeten-Dose in MIKROwelle mit roten Kabeln
-
Pathophysiologie
1. Endothelschädigung kleiner Gefäße
Kleine kaputte rote Vase
Die Endothelschädigung der kleinen Gefäße startet eine Kaskade an Prozessen, die schließlich zur thrombotischen Mikroangiopathie führen.
-
Ätiologie
EHEC (enterohämorrhagische Escherichia coli)
Hecke (mit Kolibri)
Nicht jede Infektion mit EHEC führt zu HUS, aber EHEC ist der häufigste Auslöser für HUS.
...
Expertenwissen
-
Pathophysiologie
2. → Entzündung & Thrombosen der kleinen Gefäße
Brennende Vase raucht Richtung Trompeten-Dose
-
Pathophysiologie
3. → Hämolyse & Nekrosen
Rote Sauce & schwarze Rosen
Die Thrombosen führen zur Lyse von Erythrozyten (aus der Trompeten-Dose läuft rote Sauce) und durch die verstopften Gefäße kann es zu peripheren Nekrosen kommen.
-
Ätiologie
Überaktivierung des Komplementsystems → HUS
Komplimente(Blumen)-Panzer (Immun-Abwehr)
Es gibt Gendefekte (zerissene DNA-Leine), die eine Überaktivierung des Komplementsystems verursachen und dadurch ein HUS auslösen können. Das wurde früher atypisches HUS genannt.
...
Beginne das Lernen mit unseren Eselsbrücken,
werde Teil der Lernrevolution.
Neu
Die 10 neuesten Meditricks:
Gereift unter der Sonne Freiburgs. mit viel Liebe zum Detail ersonnen, illustriert und vertont. Wir übernehmen keine Haftung für nicht mehr löschbare Erinnerungen.


