Beitrag
Hirnhäute
Drei Hirnhäute: (1) Dura mater
Dürrer Marder ( = harte Mutter)
Das Gehirn und Rückenmark sind von drei Hirnhäuten umgeben. Wir gehen hier von außen nach innen durch.
1/34
Hirnhäute
Drei Hirnhäute: (2) Arachnoidea
Spinne
Die Arachnoidea - auch: Arachnoidea mater, deutsch: Spinnwebshaut - leitet sich vom griechischen Wort ᾰ̓ρᾰ́χνη (arachne) für „Spinne“ ab.
2/34
Hirnhäute
Drei Hirnhäute: (3) Pia mater
Pietätsvolle Mutter
3/34
Hirnhäute > Harte Hirnhaut
Dura mater: außen, mit Schädeldach verwachsen; oben identisch mit Schädel-Knochenhaut
Dürrer Marder: an Decke geklebt, hat Knochen-Haut
Dura mater (auch oft einfach „Dura“ genannt) bedeutet auf Latein „harte Mutter“, auf deutsch wird sie als „harte Hirnhaut“ bezeichnet. Sie ist derb und fest, daher der Name. Die Dura ist fest mit dem Schädeldach verwachsen, deshalb ist sie dort identisch mit der Knochenhaut des Schädeldachs.
4/34
Hirnhäute > Harte Hirnhaut
Dura mater: Überspringt Furchen des Gehirns außer Interhemisphärenspalt (Falx cerebri)
Dürrer marder interessiert sich nicht für Dreck in Furchen; Falke in großem Spalt
Die Dura mater überspringt die Furchen des Gehirns, abgesehen von der Längsfurche in der Mitte – die Falx cerebri ist das Stück Dura mater, das in den Interhemisphärenspalt ragt.
5/34
Hirnhäute > Harte Hirnhaut
Dura mater: bildet Kleinhirnzelt (Tentorium cerebelli) und venöse Blutleiter (Sinūs durae matris)
Zelt der Zebra-Libellen; Blut-Leiter
Die Dura bildet außerdem das Kleinhirnzelt (lat.: Tentorium cerebelli, vgl. engl. „tent“) und die venösen Blutleiter des Hirns (lat.: Sinūs durae matris). Die Sinus sind aber nicht wie Venen aufgebaut, da sie bloße Doppelungen („Duplikaturen“) der Dura sind. Sie haben keine Venenklappen oder den sonst üblichen Wandaufbau der Venen, weshalb sie auch „Blutleiter“ und nicht „Venen“ genannt werden. Beispiele sind der Sinus sagittalis superior, der Sinus petrosus (MT „Durchtrittsstellen der Schädelbasis“) oder der Sinus cavernosus. Das ist klinisch bei Infektionen und Thrombosen relevant!
6/34
Hirnhäute > Weiche Hirnhaut
Weiche Hirnhaut: Arachnoidea mater und Pia mater
Hand an Weiche: Spinne, pietätsvolle Mutter
Arachnoidea und Pia mater werden zur weichen Hirnhaut zusammengefasst. Sie sind beide deutlich weicher und feiner als die Dura.
7/34
Hirnhäute > Weiche Hirnhaut
(1/2) Arachnoidea mater: hat feine „Fäden“ zum Gehirn
Spinne mit Spinnenfäden zum Hirn-Zirkuszelt
Die Arachnoidea hat ihren Namen von den vielen feinen Verbindungen in Richtung Gehirn, die an Spinnenfäden erinnern.
8/34
Hirnhäute > Weiche Hirnhaut
(2/2) Arachnoidea mater: geht nur in Interhemisphärenspalt
Spinne: Spinnenfäden ziehen in den großen Spalt
Auch die Arachnoidea überspringt mit Ausnahme des Interhemisphärenspalts die Furchen des Gehirns.
9/34
Hirnhäute > Weiche Hirnhaut
(1/2) Pia mater: Direkt auf Hirnoberfläche
Pietätsvolle Mutter: sitzt direkt auf Hirn-Zirkuszelt
Die Pia mater ist eine dünne, weiche Haut.
10/34
Hirnhäute > Weiche Hirnhaut
(2/2) Pia mater: folgt als einzige in Hirnfurchen
Pietätsvolle Mutter: Tränen laufen in jede Ritze
Sie liegt direkt auf der Oberfläche des Gehirns und folgt in alle Spalten und Furchen des Gehirns.
11/34
Wissensverknüpfung: Innervation und Blutversorgung
Innervation: Nn. und Rr. meningei, nur Dura
Nur dürrer Marder schmerzgeplagt
Die Hirnhäute werden zwar allesamt als Meningen bezeichnet, die Nn. ode Rr. meningei, die größtenteils Äste des N. trigeminus sind, beziehen sich jedoch allesamt lediglich auf die Dura mater. Das hat einen einfachen Grund: Nur die Dura mater ist sensibel innerviert – weder die weiche Hirnhaut, noch das Gehirn selbst ist also schmerzempfindlich!
12/34
Wissensverknüpfung: Innervation und Blutversorgung
Innervation: Nn. und Rr. meningei u.a. < N. trigeminus (V) und < N. vagus (X)
Hirnhaut-Helme und Shakespeare’s men
Üblicherweise wird alles, was „meningeus“ heißt, bei uns durch Hirnhaut-Helme dargestellt. Auch der dürre Marder hat ja einen solchen Hirnhauthelm auf! Für treue Meditrickser schließt sich jetzt ein Kreis: Erinnert euch an das Merkbild zum N. trigeminus. Dort gibt es den N. meningeus recurrens (< N. ophthalmicus (V1)), den R. meningeus des N. maxillaris (V2) sowie den R. meningeus des N. mandibularis (V3). Auch der N. vagus gibt einen R. meningeus ab. Im dazugehörigen Merkbild sind wir leider vom Schema abgewichen, er wird hier durch Shakespeare and his men (meningeus) dargestellt. Es gibt auch noch einen R. meningeus aus dem N. glossopharyngeus, den wir euch im dazugehörigen Video allerdings verschwiegen haben.
13/34
Wissensverknüpfung: Innervation und Blutversorgung
Blutversorgung: Aa. meningeae und Rr. meningei, nur Dura
Hirnhauthelm des dürren Marders
Ihr seid sicher auch bei den Arterien schon in manchen unserer Merkbilder Aa. meningeae oder Rr. meningei begegnet. Auch diese beziehen sich allesamt lediglich auf die Dura mater. Blutversorgt sind zwar natürlich alle drei Hirnhäute. Allerdings sind die Arterien der Dura mater makroskopisch gut zu sehen. Klinisch relevant ist v.a. die A. meningea media, die oft der Übeltäter ist bei Epiduralhämatomen. Es gibt aber noch weitere Meningealäste.
14/34
Räume
Epiduralraum bildet sich nur bei Blutung (immer pathologisch!)
Dürrer Marder hat sich beim Epilieren verletzt → Blut drückt ihn von der Decke weg
Da die Dura fest mit dem Schädeldach verwachsen ist, existiert zwischen Dura und Schädel physiologischerweise kein epiduraler Raum (dürrer Marder fest an die Decke geklebt). Erst wenn Blut mit hohem Druck zwischen Dura und Schädel drängt, kann sich hier der Epiduralraum bilden.
15/34
Räume
Rückenmark: Periduralraum (Raum um Dura herum mit Fett gefüllt)
Rücken-Marc, Bär-iduralraum: umarmt vom fetten Bären
Im Gegensatz zum Gehirn existiert beim Rückenmark ein Raum um die Dura herum. Er ist mit Fett gefüllt (Bär ist fett) und wird nicht Epi- sondern Periduralraum genannt.
16/34
Räume
Periduralraum: Hier Periduralanästhesie
Bär betäubt sich
In den Periduralraum hinein wird die Periduralanästhesie (PDA) verabreicht. Dies ist eine Form der Leitungsanästhesie, durch die die im Periduralraum verlaufenden Nervenwurzeln ausgeschaltet werden. Verwendet wird sie z.B. bei Operationen der unteren Extremität (bis hin zur Totalendoprothetik!) oder beim Kaiserschnitt.
17/34
Räume
Subduralraum: Zwischen Dura mater und Arachnoidea; nur sichtbar nach Blutung
Suppe unter dürrem Marder (Supp-Dural)
Zwischen Dura mater und Arachnoidea liegt der beim Gesunden sehr schmale (sehr kleine Suppenschüssel) Subduralraum (Supp-Dural). Dieser wird erst sichtbar, wenn er durch eine Blutung aufgedehnt wird (die überquellende große Schüssel mit Blutsuppe).
18/34
Räume
Subarachnoidalraum: Zwischen Arachnoidea und Pia mater = äußerer Liquorraum
Spinnen-Suppe mit Likör drin
Zwischen Arachnoidea und Pia liegt der Subarachnoidalraum (die Spinnen-Suppe, die unter dem Spinnennetz hängt). Er ist mit Liquor gefüllt und bildet den äußeren Liquorraum. Im Subarachnoidalraum verlaufen die großen hirnversorgenden Arterien – z.B. der Circulus arteriosus.
19/34
Blutungen > Epiduralblutung
Epiduralblutung: meist Riss der A. meningea media
Epilier-Drama: Medien-Hirnhauthelm
20/34
Blutungen > Epiduralblutung
Ätiologie: i.d.R. Trauma, oft Bruch Schädelkalotte
Traum-Mann zerbricht Schädel-Karotte
Das den Riss der A. meningea media verursachende Trauma geht oft mit einem Bruch der Schädelkalotte einher.
21/34
Blutungen > Epiduralblutung
Epiduralblutung: Bikonvex
Zwei Buckel von der Hex
Durch die Form des Schädels und die sehr unfreiwillige Ablösung der Dura vom Schädel entsteht die typische bikonvexe Form – also außen und innen jeweils von der Mitte des Hämatoms weg gewölbt (Merkhilfe: Konvex, wie der Buckel von der Hex – bi-konvex sind hier demnach die zwei Buckel von der Hex).
22/34
Blutungen > Epiduralblutung
Epiduralblutung Klinik: Symptomfreier Zeitraum, danach schnelle Verschlechterung bis hin zum Tod
Summton-Freier; Summ-Ton ist einschläfernd oder sogar tödlich
Typisch und tragisch: Jemand stürzt und ist kurz bewusstlos. Da er aber bald wieder zu sich kommt und nicht auffällig wirkt, geht er nach Hause und legt sich schlafen. Am nächsten Morgen liegt er oder sie tot im Bett. Deshalb werden Patienten, die nach Sturz auf den Kopf bewusstlos waren, im Krankenhaus immer zur Überwachung aufgenommen! Ein solcher symptomfreier Zeitraum kommt dadurch zustande, dass die kurze Bewusstlosigkeit durch die Heftigkeit des Aufpralls zwar vorübergeht, in der Folge jedoch durch das wachsende Epiduralhämatom der Hirndruck immer weiter ansteigt – bis hin zur Bewusstlosigkeit und sogar dem Tod durch Hirnstammeinklemmung.
23/34
Blutungen > Epiduralblutung
Epiduralblutung: Begrenzt durch die Suturen (Nähte zwischen Schädelknochen)
Mit Soutanen an die Schädeldecke gefesselt
Die Ablösung der Dura vom Schädel durch die Blutung endet regelmäßig an den Suturen (Soutanen) des knöchernen Schädels, weil die Dura hier noch fester mit dem Schädel verwachsen ist (an Schädeldecke gefesselt). Das Epiduralhämatom ist deshalb regelmäßig scharf durch die Suturen begrenzt.
24/34
Blutungen > Epiduralblutung
Epiduralblutung Klinik: Hirndrucksymptomatik (Kopfschmerzen, Übelkeit, Bewusstseinseintrübung)
Hirndruckballon, Hexe erbricht, K.O.-Oma
Der durch das Hämatom erzeugte Hirndruck (Hirndruckballon) führt oft zu Kopfschmerzen, Übelkeit (Hexe erbricht) und Bewusstseinseintrübung (bis hin zum Koma – die K.O.-Oma) – typische Hirndrucksymptomatik also.
25/34
Blutungen > Epiduralblutung
Epiduralblutung Klinik: Anisokorie
Anis-Chor
Am N. oculomotorius liegen außen die parasympathischen Fasern, u.a. zum M. sphincter pupillae. Kommt es durch Hirndruck zu einer Einengung des N. oculomotorius, werden diese deshalb schon früh beschädigt. Geschieht dies einseitig, ist das besonders einfach zu erkennen: Es kommt zur Anisokorie (Anis-Chor) – also ungleich große Pupillen.
26/34
Blutungen > Epiduralblutung
Epiduralblutung Therapie: Operative Druckentlastung
Rettungsteam bohrt sich durch die Decke
Die wichtigste Therapie: eine schnelle operative Druckentlastung. Dazu muss der Schädel eröffnet werden, meist durch das Bohren eines Lochs („Bohrlochtrepanation“).
27/34
Blutungen > Subduralblutung
Subduralblutung: Sichelförmig, Einriss von Brückenvenen
Suppen-Drama: mit Sichel Brücke zerschnitten
Bei der Subduralblutung stammt das Blut in der Regel aus gerissenen Brückenvenen. Der Druck ist also niedrig (weil venös), außerdem ist die Dura nicht fest mit der darunter liegenden Arachnoidea verwachsen. Das Blut verteilt sich deshalb gleichmäßiger – im Schnittbild ergibt sich daraus die typische Sichelform („konvex-konkav“).
28/34
Blutungen > Subduralblutung
Subduralblutung Klinik: (1) akuter Verlauf
Akku-Tier
Die Symptome der Subduralblutung können entweder akut oder langsamer und chronisch auftreten, je nach Heftigkeit des zugrundeliegenden Traumas.
29/34
Blutungen > Subduralblutung
Subduralblutung Klinik: (2) chronischer Verlauf
Faultier (mit Chronometer)
30/34
Blutungen > Subduralblutung
Subduralblutung akuter Verlauf: Symptome wie bei Epiduralhämatom (Hirndruckzeichen)
Akku-Tier hängt auch an Hirndruckballon
Bei einem Subduralhämatom nach einem starken Trauma mit entsprechend starker Blutung kommt es zu einer Steigerung des Hirndrucks. Dementsprechend sind die typischen Symptome dieselben wie beim Epiduralhämatom, also Kopfschmerzen, Übelkeit, Bewusstseinseintrübung und Anisokorie.
31/34
Blutungen > Subduralblutung
Subduralblutung subakuter/chronischer Verlauf: nach Bagatelltrauma; unspezifische Symptome
Faultier: Bagger-Teller; Uni-Spezial-Fisch
Nach einem oft nicht einmal erinnerlichen Bagatelltrauma kann es zu einem chronischen Subduralhämatom kommen. Die Symptome entstehen schleichend über längere Zeit und sind oft sehr unspezifisch: Es kann zu Kopfdruck, psychomotorischer Verlangsamung und Gedächtnisschwierigkeiten kommen. Entsprechend leicht ist das chronische Subduralhämatom zu übersehen!
32/34
Blutungen > Subduralblutung
Subduralblutung Therapie: Konservativ oder OP (Schädeleröffnung); Gerinnungsnormalisierung
Konserve; Dach abgedeckt; Rinnsal aus Konserve
Je nach Schweregrad und neurologischem Verlauf kann hier entweder wie beim Epiduralhämatom der Schädel zur Druckentlastung eröffnet werden oder unter regelmäßiger Kontrolle zugewartet werden (Konservative Behandlung). Darüber hinaus sollte der Hirndruck ggfs. medikamentös gesenkt und die Gerinnung normalisiert werden – wobei hier die Abwägung zur Gefahr thrombembolischer Ereignisse wichtig ist.
33/34
Blutungen > Subarachnoidalblutung
Subarachnoidalblutung: Aneurysmen der großen Hirnarterien, „Donnerschlagkopfschmerz“
Großer Blut-Dudelsack platzt, Donnerschlag
Bei einer Subarachnoidalblutung reißen meist Aneurysmen (Aussackungen) der großen hirnversorgenden Arterien (großer Dudelsack explodiert). Das Blut gelangt dadurch in den Liquorraum, was zu plötzlichen fürchterlichen Kopfschmerzen führt („Donnerschlagkopfschmerz“ – der Donnerschlag). Die Subarachnoidalblutung ist ein absoluter Notfall: Etwa jeder fünfte bis jeder sechste Patient erreicht das Krankenhaus nicht lebend, viele tragen neurologische Langzeitfolgen davon (droht Mütter des Hirnkönigs zu ertränken). Entsprechend häufig wird die Subarachnoidalblutung im Examen geprüft, weshalb wir ihr den gesamten nächsten Teil der Hirnblut-Serie widmen.
34/34
schließen
Seitliche Ansicht eines geöffneten Schädels mit rot markierter Falx cerebri und grün markiertem Tentorium cerebelli. Die Falx cerebri trennt die beiden Großhirnhemisphären, während das Tentorium cerebelli das Kleinhirn vom Großhirn trennt und die Infratentorial- und Supratentorialräume voneinander abgrenzt.
Querschnitt durch die Hirnhäute (Meningen) und die umgebenden Strukturen des Gehirns.
Darstellung der Dura mater nach Entfernung der Schädelkalotte.
Sichtbar sind:
1 – Haut 2 – Knochen 3 – Dura mater 4 – A. meningea media 5 – Sinus sagittalis superior.
Die Dura mater ist die äußere, feste Hirnhaut mit gut erkennbaren meningealen Arterien.
Klinisch bedeutsam ist die A. meningea media, häufige Blutungsquelle beim Epiduralhämatom.
Weitere Äste: A. meningea anterior (vorderer Abschnitt) und A. meningea posterior (hinterer Abschnitt).
Fotografie eines menschlichen Gehirns mit erhaltener Arachnoidea mater und einem Bereich, in dem sie entfernt wurde. Man erkennt deutlich die spinnenwebenartigen Ausläufer der Arachnoidea, die sich zum Gehirn hin erstrecken, sowie dass sie nur bis in den Interhemisphärenspalt hineinreicht. Die darunterliegende Pia mater liegt eng den Gyri an und folgt als einzige Hirnhaut den Furchen.
Schematische Darstellung von Blutungen innerhalb der verschiedenen Schichten der Hirnhäute (links) und der Kopfhaut (rechts).
Linke Seite (Hirnhäute):
Epidural: Blutung zwischen der Schädeldecke und der Dura mater.
Subdural: Blutung zwischen der Dura mater und der Arachnoidea.
Subarachnoidal: Blutung zwischen der Arachnoidea und der Pia mater, in den Subarachnoidalraum.
Sagittalschnitt durch den Wirbelkanal mit Darstellung des unteren Endes des Rückenmarks (Medulla spinalis) und des Filum terminale. Das Rückenmark ist von der Pia mater umgeben, die ihm eng anliegt. Darüber liegt die Arachnoidea mater, welche den liquorgefüllten Subarachnoidalraum umschließt. Zwischen Dura mater und Wirbelkanal befindet sich der Periduralraum (Epiduralraum), der physiologischerweise Fettgewebe und venöse Gefäße enthält – im Gegensatz zum Schädel, wo ein epiduraler Raum normalerweise nicht vorhanden (unphysiologisch) ist. Die Dura mater bildet den äußeren Abschluss und setzt sich nach kaudal bis zum Filum terminale fort, das am ersten Steißbeinsegment fixiert ist.
Laterale Ansicht des Schädels mit Lagebeziehung der A. meningea media (rot) zur Schädeloberfläche. Die Arterie verläuft zwischen Schläfenbein (Os temporale) und Dura mater und ist durch Knochenfragmente bei Frakturen besonders gefährdet.
Computertomografische Aufnahme (CCT) des Schädels mit bikonvexer (linsenförmiger) hyperdensen Blutansammlung zwischen Schädelknochen und Dura mater typisch für ein epidurales Hämatom. Der Pfeil markiert die Frakturlinie der Schädelkalotte, welche die Blutung verursacht hat.
Computertomografische Aufnahme (CCT) mit sichelförmiger, konvex-konkaver Blutansammlung zwischen Dura mater und Arachnoidea. Typisch für eine subdurale Blutung (häufig traumatisch bedingt).
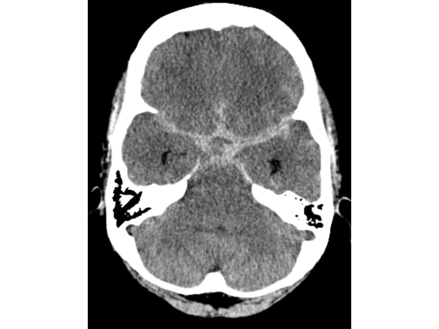
Computertomografische Aufnahme einer subarachnoidalen Blutung (SAB) mit sternförmig hyperdensen Blutansammlungen in den basalen Zisternen. Diese entstehen typischerweise nach dem Riss eines Aneurysmas einer großen Hirnarterie, wodurch Blut in den Liquorraum austritt. Klinisch führt dies zu plötzlichen, extremen Kopfschmerzen („Donnerschlagkopfschmerz“) und akuter Lebensgefahr.
Draufsicht auf zwei Schädel (Lang- und Kurzschädel) mit markierten Schädelnähten: Kreuznaht (1), Scheitelnaht (2) und Lambdanaht (3). Die Lambdanaht (Sutura lambdoidea) verbindet die beiden Scheitelbeine mit dem Hinterhauptbein und verläuft bogenförmig am Hinterkopf, ähnlich dem griechischen Buchstaben Lambda (Λ).
Klinisch bedeutsam ist sie, weil Schädelnähte wie die Lambdanaht die Ausbreitung einer epiduralen Blutung begrenzen. Das Blut kann sich nicht über Nahtgrenzen hinweg ausbreiten, da die Dura dort fest mit dem Knochen verwachsen ist.
fAsdnn34#SD6%4mgLS9(#k-mn
https://www.meditricks.de/wp-content/plugins/meditricks-mt-quiz/include/
n
45495
Was ist Ankizin?
Ankizin ist ein Projekt der AG Medizinische-Ausbildung bvmd e.V.
Es ist das größte non-profit, studentisch organisierte Anki-Projekt im deutschsprachigen Raum.
Ziel ist die Umsetzung des gesamten notwendigen Wissens für alle medizinischen Staatsexamina.
In freundlicher Kooperation bieten wir im Ankizin-Deck passgenau unsere Merkhilfen in den jeweiligen Anki-Karten an. Die so verknüpften Fragen kannst Du mit freundlicher Genehmigung der bvmd auch hier als Quiz ansehen.
Du findest alle Inhalte auch im Ankizin-Deck in Anki.
Es ist das größte non-profit, studentisch organisierte Anki-Projekt im deutschsprachigen Raum.
Ziel ist die Umsetzung des gesamten notwendigen Wissens für alle medizinischen Staatsexamina.
In freundlicher Kooperation bieten wir im Ankizin-Deck passgenau unsere Merkhilfen in den jeweiligen Anki-Karten an. Die so verknüpften Fragen kannst Du mit freundlicher Genehmigung der bvmd auch hier als Quiz ansehen.
Du findest alle Inhalte auch im Ankizin-Deck in Anki.



1
Hirnhäute
Dürrer Marder ( = harte Mutter)
Das Gehirn und Rückenmark sind von drei Hirnhäuten umgeben. Wir gehen hier von außen nach innen durch.
alles
anzeigen
2
Hirnhäute
Spinne
Die Arachnoidea - auch: Arachnoidea mater, deutsch: Spinnwebshaut - leitet sich vom griechischen Wort ᾰ̓ρᾰ́χνη (arachne) für „Spinne“ ab.
alles
anzeigen
3
4
Hirnhäute > Harte Hirnhaut
Dürrer Marder: an Decke geklebt, hat Knochen-Haut
Dura mater (auch oft einfach „Dura“ genannt) bedeutet auf Latein „harte Mutter“, auf deutsch wird sie als „harte Hirnhaut“ bezeichnet. Sie ist derb und fest, daher der Name. Die Dura ist fest mit dem Schädeldach verwachsen, deshalb ist sie dort identisch mit der Knochenhaut des Schädeldachs.
alles
anzeigen
Extra Info / Trivia
Der etwas ungewöhnliche Name kommt ursprünglich wohl aus dem Arabischen, wo mit „Vater“, „Mutter“ und „Sohn“ häufig Beziehungen zwischen Gegenständen ausgedrückt werden.
Der Überbegriff „harte Hirnhaut“ (als Gegensatz zu „weiche Hirnhaut“, s.u.) auf schlau: Pachymeminx (< griech. παχύς pachýs = ‚derb‘ und μῆνιγξ méninx = ‚Haut‘)
Der etwas ungewöhnliche Name kommt ursprünglich wohl aus dem Arabischen, wo mit „Vater“, „Mutter“ und „Sohn“ häufig Beziehungen zwischen Gegenständen ausgedrückt werden.
Der Überbegriff „harte Hirnhaut“ (als Gegensatz zu „weiche Hirnhaut“, s.u.) auf schlau: Pachymeminx (< griech. παχύς pachýs = ‚derb‘ und μῆνιγξ méninx = ‚Haut‘)
5
Hirnhäute > Harte Hirnhaut
Dürrer marder interessiert sich nicht für Dreck in Furchen; Falke in großem Spalt
Die Dura mater überspringt die Furchen des Gehirns, abgesehen von der Längsfurche in der Mitte – die Falx cerebri ist das Stück Dura mater, das in den Interhemisphärenspalt ragt.
alles
anzeigen
6
Hirnhäute > Harte Hirnhaut
Zelt der Zebra-Libellen; Blut-Leiter
Die Dura bildet außerdem das Kleinhirnzelt (lat.: Tentorium cerebelli, vgl. engl. „tent“) und die venösen Blutleiter des Hirns (lat.: Sinūs durae matris). Die Sinus sind aber nicht wie Venen aufgebaut, da sie bloße Doppelungen („Duplikaturen“) der Dura sind. Sie haben keine Venenklappen oder den sonst üblichen Wandaufbau der Venen, weshalb sie auch „Blutleiter“ und nicht „Venen“ genannt werden. Beispiele sind der Sinus sagittalis superior, der Sinus petrosus (MT „Durchtrittsstellen der Schädelbasis“) oder der Sinus cavernosus. Das ist klinisch bei Infektionen und Thrombosen relevant!
alles
anzeigen
7
Hirnhäute > Weiche Hirnhaut
Hand an Weiche: Spinne, pietätsvolle Mutter
Arachnoidea und Pia mater werden zur weichen Hirnhaut zusammengefasst. Sie sind beide deutlich weicher und feiner als die Dura.
alles
anzeigen
8
Hirnhäute > Weiche Hirnhaut
Spinne mit Spinnenfäden zum Hirn-Zirkuszelt
Die Arachnoidea hat ihren Namen von den vielen feinen Verbindungen in Richtung Gehirn, die an Spinnenfäden erinnern.
alles
anzeigen
9
Hirnhäute > Weiche Hirnhaut
Spinne: Spinnenfäden ziehen in den großen Spalt
Auch die Arachnoidea überspringt mit Ausnahme des Interhemisphärenspalts die Furchen des Gehirns.
alles
anzeigen
10
Hirnhäute > Weiche Hirnhaut
Pietätsvolle Mutter: sitzt direkt auf Hirn-Zirkuszelt
Die Pia mater ist eine dünne, weiche Haut.
alles
anzeigen
11
Hirnhäute > Weiche Hirnhaut
Pietätsvolle Mutter: Tränen laufen in jede Ritze
Sie liegt direkt auf der Oberfläche des Gehirns und folgt in alle Spalten und Furchen des Gehirns.
alles
anzeigen
12
Wissensverknüpfung: Innervation und Blutversorgung
Nur dürrer Marder schmerzgeplagt
Die Hirnhäute werden zwar allesamt als Meningen bezeichnet, die Nn. ode Rr. meningei, die größtenteils Äste des N. trigeminus sind, beziehen sich jedoch allesamt lediglich auf die Dura mater. Das hat einen einfachen Grund: Nur die Dura mater ist sensibel innerviert – weder die weiche Hirnhaut, noch das Gehirn selbst ist also schmerzempfindlich!
alles
anzeigen
13
Wissensverknüpfung: Innervation und Blutversorgung
Hirnhaut-Helme und Shakespeare’s men
Üblicherweise wird alles, was „meningeus“ heißt, bei uns durch Hirnhaut-Helme dargestellt. Auch der dürre Marder hat ja einen solchen Hirnhauthelm auf! Für treue Meditrickser schließt sich jetzt ein Kreis: Erinnert euch an das Merkbild zum N. trigeminus. Dort gibt es den N. meningeus recurrens (< N. ophthalmicus (V1)), den R. meningeus des N. maxillaris (V2) sowie den R. meningeus des N. mandibularis (V3). Auch der N. vagus gibt einen R. meningeus ab. Im dazugehörigen Merkbild sind wir leider vom Schema abgewichen, er wird hier durch Shakespeare and his men (meningeus) dargestellt. Es gibt auch noch einen R. meningeus aus dem N. glossopharyngeus, den wir euch im dazugehörigen Video allerdings verschwiegen haben.
alles
anzeigen
14
Wissensverknüpfung: Innervation und Blutversorgung
Hirnhauthelm des dürren Marders
Ihr seid sicher auch bei den Arterien schon in manchen unserer Merkbilder Aa. meningeae oder Rr. meningei begegnet. Auch diese beziehen sich allesamt lediglich auf die Dura mater. Blutversorgt sind zwar natürlich alle drei Hirnhäute. Allerdings sind die Arterien der Dura mater makroskopisch gut zu sehen. Klinisch relevant ist v.a. die A. meningea media, die oft der Übeltäter ist bei Epiduralhämatomen. Es gibt aber noch weitere Meningealäste.
alles
anzeigen
15
Räume
Dürrer Marder hat sich beim Epilieren verletzt → Blut drückt ihn von der Decke weg
Da die Dura fest mit dem Schädeldach verwachsen ist, existiert zwischen Dura und Schädel physiologischerweise kein epiduraler Raum (dürrer Marder fest an die Decke geklebt). Erst wenn Blut mit hohem Druck zwischen Dura und Schädel drängt, kann sich hier der Epiduralraum bilden.
alles
anzeigen
16
Räume
Rücken-Marc, Bär-iduralraum: umarmt vom fetten Bären
Im Gegensatz zum Gehirn existiert beim Rückenmark ein Raum um die Dura herum. Er ist mit Fett gefüllt (Bär ist fett) und wird nicht Epi- sondern Periduralraum genannt.
alles
anzeigen
17
Räume
Bär betäubt sich
In den Periduralraum hinein wird die Periduralanästhesie (PDA) verabreicht. Dies ist eine Form der Leitungsanästhesie, durch die die im Periduralraum verlaufenden Nervenwurzeln ausgeschaltet werden. Verwendet wird sie z.B. bei Operationen der unteren Extremität (bis hin zur Totalendoprothetik!) oder beim Kaiserschnitt.
alles
anzeigen
Extra Info / Trivia
Neben der Vermeidung der „normalen“ Narkoserisiken hat die Periduralanästhesie beim Kaiserschnitt noch einen großen Vorteil: Es treten keine Narkotika auf das Kind über! Ist für die aufwändige PDA keine Zeit mehr, muss auf eine Vollnarkose zurückgegriffen werden, mit den entsprechenden negativen Folgen für das Kind.
Neben der Vermeidung der „normalen“ Narkoserisiken hat die Periduralanästhesie beim Kaiserschnitt noch einen großen Vorteil: Es treten keine Narkotika auf das Kind über! Ist für die aufwändige PDA keine Zeit mehr, muss auf eine Vollnarkose zurückgegriffen werden, mit den entsprechenden negativen Folgen für das Kind.
18
Räume
Suppe unter dürrem Marder (Supp-Dural)
Zwischen Dura mater und Arachnoidea liegt der beim Gesunden sehr schmale (sehr kleine Suppenschüssel) Subduralraum (Supp-Dural). Dieser wird erst sichtbar, wenn er durch eine Blutung aufgedehnt wird (die überquellende große Schüssel mit Blutsuppe).
alles
anzeigen
19
Räume
Spinnen-Suppe mit Likör drin
Zwischen Arachnoidea und Pia liegt der Subarachnoidalraum (die Spinnen-Suppe, die unter dem Spinnennetz hängt). Er ist mit Liquor gefüllt und bildet den äußeren Liquorraum. Im Subarachnoidalraum verlaufen die großen hirnversorgenden Arterien – z.B. der Circulus arteriosus.
alles
anzeigen
20
Blutungen > Epiduralblutung
Epilier-Drama: Medien-Hirnhauthelm
21
Blutungen > Epiduralblutung
Traum-Mann zerbricht Schädel-Karotte
Das den Riss der A. meningea media verursachende Trauma geht oft mit einem Bruch der Schädelkalotte einher.
alles
anzeigen
22
Blutungen > Epiduralblutung
Zwei Buckel von der Hex
Durch die Form des Schädels und die sehr unfreiwillige Ablösung der Dura vom Schädel entsteht die typische bikonvexe Form – also außen und innen jeweils von der Mitte des Hämatoms weg gewölbt (Merkhilfe: Konvex, wie der Buckel von der Hex – bi-konvex sind hier demnach die zwei Buckel von der Hex).
alles
anzeigen
23
Blutungen > Epiduralblutung
Summton-Freier; Summ-Ton ist einschläfernd oder sogar tödlich
Typisch und tragisch: Jemand stürzt und ist kurz bewusstlos. Da er aber bald wieder zu sich kommt und nicht auffällig wirkt, geht er nach Hause und legt sich schlafen. Am nächsten Morgen liegt er oder sie tot im Bett. Deshalb werden Patienten, die nach Sturz auf den Kopf bewusstlos waren, im Krankenhaus immer zur Überwachung aufgenommen! Ein solcher symptomfreier Zeitraum kommt dadurch zustande, dass die kurze Bewusstlosigkeit durch die Heftigkeit des Aufpralls zwar vorübergeht, in der Folge jedoch durch das wachsende Epiduralhämatom der Hirndruck immer weiter ansteigt – bis hin zur Bewusstlosigkeit und sogar dem Tod durch Hirnstammeinklemmung.
alles
anzeigen
24
Blutungen > Epiduralblutung
Mit Soutanen an die Schädeldecke gefesselt
Die Ablösung der Dura vom Schädel durch die Blutung endet regelmäßig an den Suturen (Soutanen) des knöchernen Schädels, weil die Dura hier noch fester mit dem Schädel verwachsen ist (an Schädeldecke gefesselt). Das Epiduralhämatom ist deshalb regelmäßig scharf durch die Suturen begrenzt.
alles
anzeigen
25
Blutungen > Epiduralblutung
Hirndruckballon, Hexe erbricht, K.O.-Oma
Der durch das Hämatom erzeugte Hirndruck (Hirndruckballon) führt oft zu Kopfschmerzen, Übelkeit (Hexe erbricht) und Bewusstseinseintrübung (bis hin zum Koma – die K.O.-Oma) – typische Hirndrucksymptomatik also.
alles
anzeigen
26
Blutungen > Epiduralblutung
Anis-Chor
Am N. oculomotorius liegen außen die parasympathischen Fasern, u.a. zum M. sphincter pupillae. Kommt es durch Hirndruck zu einer Einengung des N. oculomotorius, werden diese deshalb schon früh beschädigt. Geschieht dies einseitig, ist das besonders einfach zu erkennen: Es kommt zur Anisokorie (Anis-Chor) – also ungleich große Pupillen.
alles
anzeigen
27
Blutungen > Epiduralblutung
Rettungsteam bohrt sich durch die Decke
Die wichtigste Therapie: eine schnelle operative Druckentlastung. Dazu muss der Schädel eröffnet werden, meist durch das Bohren eines Lochs („Bohrlochtrepanation“).
alles
anzeigen
28
Blutungen > Subduralblutung
Suppen-Drama: mit Sichel Brücke zerschnitten
Bei der Subduralblutung stammt das Blut in der Regel aus gerissenen Brückenvenen. Der Druck ist also niedrig (weil venös), außerdem ist die Dura nicht fest mit der darunter liegenden Arachnoidea verwachsen. Das Blut verteilt sich deshalb gleichmäßiger – im Schnittbild ergibt sich daraus die typische Sichelform („konvex-konkav“).
alles
anzeigen
29
Blutungen > Subduralblutung
Akku-Tier
Die Symptome der Subduralblutung können entweder akut oder langsamer und chronisch auftreten, je nach Heftigkeit des zugrundeliegenden Traumas.
alles
anzeigen
30
Blutungen > Subduralblutung
Faultier (mit Chronometer)
31
Blutungen > Subduralblutung
Akku-Tier hängt auch an Hirndruckballon
Bei einem Subduralhämatom nach einem starken Trauma mit entsprechend starker Blutung kommt es zu einer Steigerung des Hirndrucks. Dementsprechend sind die typischen Symptome dieselben wie beim Epiduralhämatom, also Kopfschmerzen, Übelkeit, Bewusstseinseintrübung und Anisokorie.
alles
anzeigen
32
Blutungen > Subduralblutung
Faultier: Bagger-Teller; Uni-Spezial-Fisch
Nach einem oft nicht einmal erinnerlichen Bagatelltrauma kann es zu einem chronischen Subduralhämatom kommen. Die Symptome entstehen schleichend über längere Zeit und sind oft sehr unspezifisch: Es kann zu Kopfdruck, psychomotorischer Verlangsamung und Gedächtnisschwierigkeiten kommen. Entsprechend leicht ist das chronische Subduralhämatom zu übersehen!
alles
anzeigen
33
Blutungen > Subduralblutung
Konserve; Dach abgedeckt; Rinnsal aus Konserve
Je nach Schweregrad und neurologischem Verlauf kann hier entweder wie beim Epiduralhämatom der Schädel zur Druckentlastung eröffnet werden oder unter regelmäßiger Kontrolle zugewartet werden (Konservative Behandlung). Darüber hinaus sollte der Hirndruck ggfs. medikamentös gesenkt und die Gerinnung normalisiert werden – wobei hier die Abwägung zur Gefahr thrombembolischer Ereignisse wichtig ist.
alles
anzeigen
34
Blutungen > Subarachnoidalblutung
Großer Blut-Dudelsack platzt, Donnerschlag
Bei einer Subarachnoidalblutung reißen meist Aneurysmen (Aussackungen) der großen hirnversorgenden Arterien (großer Dudelsack explodiert). Das Blut gelangt dadurch in den Liquorraum, was zu plötzlichen fürchterlichen Kopfschmerzen führt („Donnerschlagkopfschmerz“ – der Donnerschlag). Die Subarachnoidalblutung ist ein absoluter Notfall: Etwa jeder fünfte bis jeder sechste Patient erreicht das Krankenhaus nicht lebend, viele tragen neurologische Langzeitfolgen davon (droht Mütter des Hirnkönigs zu ertränken). Entsprechend häufig wird die Subarachnoidalblutung im Examen geprüft, weshalb wir ihr den gesamten nächsten Teil der Hirnblut-Serie widmen.
alles
anzeigen
Schädel von lateral - Seitliche Ansicht eines geöffneten Schädels mit rot markierter Falx cerebri und grün markiertem Tentorium cerebelli. Die Falx cerebri trennt die beiden Großhirnhemisphären, während das Tentorium cerebelli das Kleinhirn vom Großhirn trennt und die Infratentorial- und Supratentorialräume voneinander abgrenzt.
Xanthus. (2008, 8. Februar). Schädel geöffnet, Sicht von lateral – die Falx cerebri (rot eingefärbt) [Abbildung]. Wikimedia Commons. Public domain.
CC0 1.0
Hirnhäute - Querschnitt durch die Hirnhäute (Meningen) und die umgebenden Strukturen des Gehirns.
Meditricks Schaubild, erstellt mit BioRender.com.
© Meditricks GmbH
Dura mater - Darstellung der Dura mater nach Entfernung der Schädelkalotte.
Sichtbar sind:
1 – Haut 2 – Knochen 3 – Dura mater 4 – A. meningea media 5 – Sinus sagittalis superior.
Die Dura mater ist die äußere, feste Hirnhaut mit gut erkennbaren meningealen Arterien.
Klinisch bedeutsam ist die A. meningea media, häufige Blutungsquelle beim Epiduralhämatom.
Weitere Äste: A. meningea anterior (vorderer Abschnitt) und A. meningea posterior (hinterer Abschnitt).
Sichtbar sind:
1 – Haut 2 – Knochen 3 – Dura mater 4 – A. meningea media 5 – Sinus sagittalis superior.
Die Dura mater ist die äußere, feste Hirnhaut mit gut erkennbaren meningealen Arterien.
Klinisch bedeutsam ist die A. meningea media, häufige Blutungsquelle beim Epiduralhämatom.
Weitere Äste: A. meningea anterior (vorderer Abschnitt) und A. meningea posterior (hinterer Abschnitt).
Beal, J. A. (2005, November 30). Human brain dura mater — Meninges of the human brain. Louisiana State University Health Sciences Center Shreveport. Wikimedia Commons. https://en.wikipedia.org/wiki/Middle_meningeal_artery#/media/File:Human_brain_dura_mater_description.JPG Lizenz: Creative Commons Attribution 2.5
CC BY 2.5
Gehirnpräparat - Fotografie eines menschlichen Gehirns mit erhaltener Arachnoidea mater und einem Bereich, in dem sie entfernt wurde. Man erkennt deutlich die spinnenwebenartigen Ausläufer der Arachnoidea, die sich zum Gehirn hin erstrecken, sowie dass sie nur bis in den Interhemisphärenspalt hineinreicht. Die darunterliegende Pia mater liegt eng den Gyri an und folgt als einzige Hirnhaut den Furchen.
Häggström, M. (2021, 18. August). Brain with arachnoid mater, and an area where it is removed, showing cerebral gyri covered by the translucent pia mater [Abbildung]. Wikimedia Commons. https://commons.wikimedia.org/wiki/File:Brain_with_arachnoid_and_pia_mater.jpg
CC0 1.0
Hirnblutungen - Schematische Darstellung von Blutungen innerhalb der verschiedenen Schichten der Hirnhäute (links) und der Kopfhaut (rechts).
Linke Seite (Hirnhäute):
Epidural: Blutung zwischen der Schädeldecke und der Dura mater.
Subdural: Blutung zwischen der Dura mater und der Arachnoidea.
Subarachnoidal: Blutung zwischen der Arachnoidea und der Pia mater, in den Subarachnoidalraum.
Linke Seite (Hirnhäute):
Epidural: Blutung zwischen der Schädeldecke und der Dura mater.
Subdural: Blutung zwischen der Dura mater und der Arachnoidea.
Subarachnoidal: Blutung zwischen der Arachnoidea und der Pia mater, in den Subarachnoidalraum.
Nadezdha D. Kiriyak (https://commons.wikimedia.org/wiki/File:Illustration_depicting_hemorrhages_by_location_within_the_different_layers_of_the_meninges_(left_of_image)_and_scalp_(right_of_image).webp), „Illustration depicting hemorrhages by location within the different layers of the meninges (left of image) and scalp (right of image)“, https://creativecommons.org/licenses/by/4.0/legalcode, Beschriftung bearbeitet von Meditricks mit BioRender.com (2025)
CC BY 4.0
Periduralraum - Sagittalschnitt durch den Wirbelkanal mit Darstellung des unteren Endes des Rückenmarks (Medulla spinalis) und des Filum terminale. Das Rückenmark ist von der Pia mater umgeben, die ihm eng anliegt. Darüber liegt die Arachnoidea mater, welche den liquorgefüllten Subarachnoidalraum umschließt. Zwischen Dura mater und Wirbelkanal befindet sich der Periduralraum (Epiduralraum), der physiologischerweise Fettgewebe und venöse Gefäße enthält – im Gegensatz zum Schädel, wo ein epiduraler Raum normalerweise nicht vorhanden (unphysiologisch) ist. Die Dura mater bildet den äußeren Abschluss und setzt sich nach kaudal bis zum Filum terminale fort, das am ersten Steißbeinsegment fixiert ist.
Carter, H. V. (vor 1858). Sagittal section of vertebral canal to show the lower end of the medulla spinalis and the filum terminale (Plate 661) [Abbildung]. In H. Gray, Anatomy of the Human Body (1918). Bartleby.com. https://commons.wikimedia.org/wiki/File:Gray661.png. Public domain.
CC0 1.0
A. meningea media - Laterale Ansicht des Schädels mit Lagebeziehung der A. meningea media (rot) zur Schädeloberfläche. Die Arterie verläuft zwischen Schläfenbein (Os temporale) und Dura mater und ist durch Knochenfragmente bei Frakturen besonders gefährdet.
Carter, H. V. (1858). Relations of the brain and middle meningeal artery to the surface of the skull (A. meningea media, rot markiert). In H. Gray, Anatomy of the Human Body (1918). Bartleby.com. Wikimedia Commons. https://commons.wikimedia.org/wiki/File:Gray1198.png
CC0 1.0
CCT: Epidurales Hämatom - Computertomografische Aufnahme (CCT) des Schädels mit bikonvexer (linsenförmiger) hyperdensen Blutansammlung zwischen Schädelknochen und Dura mater typisch für ein epidurales Hämatom. Der Pfeil markiert die Frakturlinie der Schädelkalotte, welche die Blutung verursacht hat.
Hellerhoff. (2009, 1. November). Epidurales Hämatom bei Fraktur (Pfeil) der Schädelkalotte, bikonvexe Form (linsenförmig), computertomografische Aufnahme (CCT). Wikimedia Commons. https://commons.wikimedia.org/wiki/File:Epidurales_Haematom.jpg
CC BY-SA 3.0
CTT: Subdurales Hämatom - Computertomografische Aufnahme (CCT) mit sichelförmiger, konvex-konkaver Blutansammlung zwischen Dura mater und Arachnoidea. Typisch für eine subdurale Blutung (häufig traumatisch bedingt).
Glitzy queen00. (2007, 4. Juli). Subdurale Blutung mit typischer konvex-konkaver Form im Computertomogramm (Ansicht von unten, hier linksseitig). Wikimedia Commons. https://commons.wikimedia.org/wiki/File:Trauma_subdural.jpg Lizenz: Gemeinfrei (Public Domain)
CC0 1.0
CTT: Subarachnoidale Blutung - Computertomografische Aufnahme einer subarachnoidalen Blutung (SAB) mit sternförmig hyperdensen Blutansammlungen in den basalen Zisternen. Diese entstehen typischerweise nach dem Riss eines Aneurysmas einer großen Hirnarterie, wodurch Blut in den Liquorraum austritt. Klinisch führt dies zu plötzlichen, extremen Kopfschmerzen („Donnerschlagkopfschmerz“) und akuter Lebensgefahr.
Hellerhoff. (2010, 21. Januar). Subarachnoidale Blutung in der Computertomographie – hyperdenses Blut in den basalen Zisternen (sternförmige Aufhellung in der Mitte). Wikimedia Commons. https://commons.wikimedia.org/wiki/File:SAB_basal_bei_Aneurysma.jpg
CC BY-SA 3.0
Suturen - Draufsicht auf zwei Schädel (Lang- und Kurzschädel) mit markierten Schädelnähten: Kreuznaht (1), Scheitelnaht (2) und Lambdanaht (3). Die Lambdanaht (Sutura lambdoidea) verbindet die beiden Scheitelbeine mit dem Hinterhauptbein und verläuft bogenförmig am Hinterkopf, ähnlich dem griechischen Buchstaben Lambda (Λ).
Klinisch bedeutsam ist sie, weil Schädelnähte wie die Lambdanaht die Ausbreitung einer epiduralen Blutung begrenzen. Das Blut kann sich nicht über Nahtgrenzen hinweg ausbreiten, da die Dura dort fest mit dem Knochen verwachsen ist.
Klinisch bedeutsam ist sie, weil Schädelnähte wie die Lambdanaht die Ausbreitung einer epiduralen Blutung begrenzen. Das Blut kann sich nicht über Nahtgrenzen hinweg ausbreiten, da die Dura dort fest mit dem Knochen verwachsen ist.
Kollmann, J. (1901). Zwei europäische Schädel von oben – Darstellung der Kreuznaht, Scheitelnaht und Lambdanaht (Sutura lambdoidea) [Abbildung]. In Plastische Anatomie des menschlichen Körpers für Künstler und Freunde der Kunst (2., vermehrte und umgearbeitete Aufl.). Verlag von Veit & Comp., Leipzig. Wikimedia Commons. https://commons.wikimedia.org/wiki/File:Kort-lang-skalle.gif
CC0 1.0
Meine Notizen
|
Rückmeldung
Unsere Meditricks wurden mit viel Liebe ersonnen, illustriert und vertont. Gib uns gerne Lob, Kritik über die Feedback-Funktion unter den Meditricks oder schreib uns – siehe Kontakt.
Gereift unter der Sonne Freiburgs. mit viel Liebe zum Detail ersonnen, illustriert und vertont. Wir übernehmen keine Haftung für nicht mehr löschbare Erinnerungen.

Quint






