Diese Inhalte sind den Nutzenden von Meditricks vorbehalten.
Hier kannst Du einen Zugang erwerben.
Du bist neu hier? Informiere Dich über Meditricks.
Hast Du bereits einen Zugang?
Melde Dich bitte unter 'Profil' an.

Hier eine Vorschau,
wie wir dieses Thema behandeln und wie unsere Eselsbrücken aussehen:
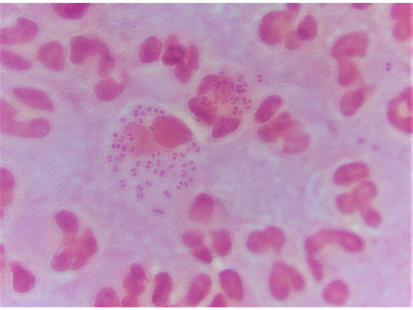
Gonoblennorrhoe - Gonokokkenkonjunktivitis
Basiswissen
-
Ätiologie
Gonokokkenkonjunktivitis durch Diplokokken
Entzündete Augen des Diplomaten
Die Gonokokkenkonjunktivitis ist eine entzündliche Erkrankung der Augen. Sie wird durch Gonokokken ausgelöst. Diese zählen zu den Diplokokken.
-
Ätiologie
Auch: Gonoblennorrhö
Geblähter Bauch
Eine andere Bezeichnung für Gonokokkenkonjunktivitis ist Gonoblennorrhö.
-
Ätiologie
Diplokokken
2 Diplomaten
Diplokokken sind unter dem Mikroskop als paarige Kugeln sichtbar.
-
Ätiologie
Genauerer Name des Bakteriums: Neisseria gonorrhoeae
Es ist derselbe Erreger wie bei der Gonorrhö.
-
Ätiologie > Gonokokken
Semmelform unter Mikroskop
Semmel
Gonokokken sehen unter dem Mikroskop wie eine Semmel aus.
...
Beginne das Lernen mit unseren Eselsbrücken,
werde Teil der Lernrevolution.
Neu
Die 10 neuesten Meditricks:
Gereift unter der Sonne Freiburgs. mit viel Liebe zum Detail ersonnen, illustriert und vertont. Wir übernehmen keine Haftung für nicht mehr löschbare Erinnerungen.
