Diagnostik > Klinische Diagnostik
Puls: Irregulär und Defizit
Puls-Puma: Irre mit Defizit-Pfeilen
Die arrhythmische Herzaktivität ist als irregulärer Puls zu tasten. Außerdem kann es zu einem Pulsdefizit kommen: Bei einer zu schnellen Ventrikelüberleitung sinkt die Kontraktionskraft mancher Schläge: Nicht jeder Puls, den man auskultatorisch hört, ist peripher auch spürbar.
1/29
Diagnostik > Klinische Diagnostik
Auskultation: 1. Herzton unterschiedlich laut
Hört sich an: Herz-Tonband mit unterschiedlich lauten Tönen
Der 1. Herzton wird durch die Ventrikelkontraktion verursacht. Bei arrhythmischer Tachykardie kann es zu abgeschwächten Ventrikelkontraktionen kommen, was zu unterschiedlich lauten 1. Herztönen führt.
2/29
Diagnostik > EKG
EKG: Goldstandard
EKG-Roboter EELA: Goldritterin
Vorhofflimmern hat im EKG mehrere typische Charakteristika.
3/29
Diagnostik > EKG
Fehlende P-Welle
Trägt nie Pelz
Eine regelmäßige und gleich aussehende P-Welle Abb. 851 fehlt.
4/29
Diagnostik > EKG
Flimmerwellen: wechselnde Größe, Gestalt und Frequenz
Spinner beim Wellenreiten gesichtet: Wellen unterschiedlich groß
Eine isoelektrische Grundlinie fehlt. Stattdessen sind Flimmerwellen zu sehen, häufig besonders gut in V1 und II. Flimmerwellen sind im Gegensatz zur P-Welle nicht einheitlich Abb. 851 konfiguriert.
5/29
Diagnostik > EKG
Unregelmäßige RR-Intervalle
Unregelmäßige KeRkeR-Zellen
Die unregelmäßige Ventrikelerregung stellt sich als unregelmäßiges RR-Intervall dar (EKG-Korrelat der Arrhythmia absoluta).
6/29
Diagnostik > EKG
Schmaler QRS-Komplex
In schmalem Spalt: QRuSel-Geist
Da das Problem supraventrikulär liegt, ist die Kammererregung in Form des QRS-Komplexes unauffällig.
7/29
Diagnostik > EKG
Puls >100/Min: Tachykardie
Hund: Tacho
Häufig sind Tachykardien – man spricht von der Tachyarrhythmia absoluta. Achtung: Wenn man von Tachykardie oder Bradykardie im Rahmen des VHF spricht, meint man die Kammerfrequenz.
8/29
Diagnostik > EKG
Bradykardie: Puls
Herzschnecke: auf Puma mit Nympf-Zacken
Seltener treten auch Bradykardien im Rahmen des Vorhofflimmerns auf.
9/29
Diagnostik > EKG
Hypertrophie als Ursache
EKG-Roboter EELA hypertroph
Im EKG können Zeichen der Herzhypertrophie wegweisend sein. Eine Hypertrophie aufgrund chronischer Volumen- und Druckbelastung kann eine mögliche Ursache des VHF sein.
10/29
Diagnostik > EKG
Langzeit-EKG
Lange Uhr hinter EKG-Roboter EELA
Auch wenn das EKG in der Klinik oder Notaufnahme normal ist, sollte zum Ausschluss eines paroxysmalen VHF bei entsprechendem Verdacht großzügig ein Langzeit-EKG erfolgen.
11/29
Diagnostik > Echokardiographie
Echokardiographie
Fledermaus
Eine echokardiographische Untersuchung ist aus zwei Gründen sinnvoll. Es können einerseits strukturelle Ursachen und Folgen des VHF gesehen werden. Außerdem können Thromben ausgeschlossen werden.
12/29
Diagnostik > Echokardiographie
Dilatierte Vorhöfe
Dilatierte Vorhof-förmige Ohren mit Dill
Oft ist eine Vorhofdilatation Abb. 858 die Folge einer Volumen- oder Druckbelastung des Herzens. Das kann eine Ursache für VHF sein.
13/29
Diagnostik > Echokardiographie
Klappenvitien als Ursache
Helmklappe kaputt
Klappenvitien können zur Druckbelastung und Dilatation führen. Der echokardiographische Nachweis von Klappenvitien wie der Mitralklappenstenose kann therapiebestimmend sein.
14/29
Diagnostik > Echokardiographie
Verringerte Linksventrikuläre Ejektionsfraktion
Nur 1 Tropfen Blut aus Herz-Flasche
Die verringerte Ejektionsfraktion ist meistens durch die über lange Zeit bestehende Tachykardie bedingt. Man spricht auch von Tachykardiomyopathie.
15/29
Diagnostik > Echokardiographie
Hypertrophien
Muskuläre Fledermaus
Wie beim EKG werden auch echokardiographische Hinweise für hypertrophische Veränderungen des Herzmuskels gesammelt.
16/29
Diagnostik > Echokardiographie
Thrombenausschluss in TEE
Trompete mit Tee wird wird weggeschickt
Prinzipiell kann eine echokardiographische Untersuchung transthorakal erfolgen (TTE) oder transösophageal (TEE). Zum Ausschluss von Thromben z.B. vor einer Kardioversion ist eine TEE Abb. 852 zu empfehlen. Prinzipiell kann ein Thrombus auch im CT mit KM Abb. 853 gesehen werden.
17/29
Diagnostik > Labor
Labor: Ursachensuche
Laborratte: Uhren
VHF wird im EKG diagnostiziert. Im Labor wird nach Ursachen gesucht.
18/29
Diagnostik > Labor
Elektrolyte: Hypokaliämie, Hypomagnesiämie
Elektro-Fesseln: Schlaffe Banane, Magnet
Gezielt sollten Kalium und Magnesium begutachtet werden, da sowohl eine Hypokaliämie als auch eine Hypomagnesiämie VHF begünstigen. Wie bei jeder Herzrhythmusstörung müssen also die Elektrolyte bestimmt werden. Hier werden Verdächtige ausgefragt.
19/29
Diagnostik > Labor
Schilddrüsenhormone
Schmetterling macht Mohn-Getränk
Die Bestimmung der Schilddrüsenhormone (TSH, T3, T4) gehört zu jeder Abklärung eines VHF dazu, da eine Schilddrüsenüberfunktion eine häufige Ursache des Vorhofflimmerns ist!
20/29
Diagnostik > Labor
Brain natriuretic peptide (BNP)
Gehirn wird gesalzen
Als Marker für die Herzinsuffizienz kann das BNP bei entsprechender Symptomatik bestimmt werden.
21/29
Diagnostik > Weitere Diagnostik
Röntgen Thorax
Hängender Skelett-Thorax
Im Röntgen Thorax können sich Hinweise auf Ursachen und auf Folgen ergeben (COPD, Pneumonie, Kardiomegalie).
22/29
Differentialdiagnosen > Vorhofflattern
Vorhofflattern: langsamere + regelmäßige Aktivität
Flatter-Falter: Schnecke + rote Regelblutung
Beim Vorhofflattern ist die elektrische Aktivität des Vorhofs etwas langsamer (250-450/Min) als beim VHF und regelmäßig (Regelblutung der Schnecke). Auch die RR-Intervalle und Kammeraktivität sind regelmäßig!
23/29
Differentialdiagnosen > Vorhofflattern
Sägezahnmuster (EKG)
Sägezähne
Im EKG kommt es zu einem typischen Sägezahnmuster Abb. 856 anstelle von P-Wellen. Die Morphologie der Vorhoferregung ändert sich im Gegensatz zum VHF nicht ständig. Die isoelektrische Grundlinie fehlt aber auch hier.
24/29
Differentialdiagnosen > Vorhofflattern
Kreisende Erregung: Makro-Reentry-Kreislauf
Kreisrundes Elektroschild: große Rentier-Hörner
Auch beim Vorhofflattern kommt es zu kreisenden Erregungen. Sie gehen von einem Zentrum im rechten oder linken Vorhof aus. Der Radius der kreisenden Erregung ist beim Vorhofflattern jedoch größer (“Makro-Reentry-Erregung”).
25/29
Differentialdiagnosen > Vorhofflattern
AV-Knoten als Filter → x:1-Überleitung
Pfau-Knoten mit Sieb-Kopf → Kabel vs. Multikabel
Eine 1:1-Überleitung ist auf Dauer fatal (z.B. bei einer VH-Frequenz von >300/Min). Meist kommt es jedoch zur 2:1-, 3:1- und 4:1-Überleitung Abb. 855 von Vorhoferregung auf die Kammer.
26/29
Differentialdiagnosen > Präexzitationssyndrome
Präexzitationssyndrome: Akzessorische AV-Leitungsbahnen
Prähistorische Echse: Akzessorischer Elektroschwanz
Bei den sog. Präexzitationssyndromen Abb. 857 können Impulse vom Vorhof über akzessorische AV-Leitungsbahnen verfrüht auf die Ventrikel übertragen werden. Es ist für die Therapieentscheidung hochrelevant, Präexzitationssyndrome zu beachten!
27/29
Differentialdiagnosen > Präexzitationssyndrome
Keine Frequenzkontrolle → Gefahr von Kammerflimmern!
Lollis füttern verboten → Flimmernde Schreckenskammer
Oft besteht die Therapie von VHF in einer negativ chronotropen Frequenzkontrolle, zum Beispiel durch Betablocker mit der Endung -olol (Lolli). Diese dürfen bei Präexzitationssyndromen jedoch nicht gegeben werden, weil es zu Kammerflimmern kommen kann.
28/29
Differentialdiagnosen > Präexzitationssyndrome
Deltawelle (EKG)
Zelt-Welle
Die akzessorischen Leitungsbahnen können an einer Deltawelle (“Schulter”) zu erkennen sein. Diese ist bei Vorhofflimmern jedoch oft nicht erkennbar.
29/29
schließen

Vorhofflimmern im EKG: Fehlende P-Welle, Flimmerwellen, unregelmäßige RR-Abstände, schmalem QRS. Geht oft mit Tachykardie einher, manchmal mit Bradykardie.
Quelle: CC BY-SA 3.0 "Vorhofflimmern (oben) und Sinusrhythmus (unten) schematisch." Wikimedia Commons User: J. Heuser

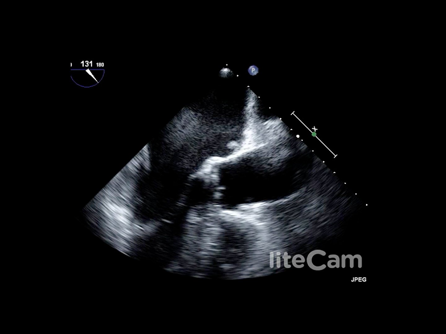
Mobiler Thrombus im linken Vorhof im TEE. Siehe Video
Quelle: CC BY 3.0 "The Supplementary Video shows transesophageal echocardiogram in the midesophageal long axis view. There is significant smoke in the left atrium and a mobile thrombus can be seen in the left atrium.". Wikimedia Commons. User: Shah P, Mithawala P, Konlian D, Soyombo A, Bikkina M.

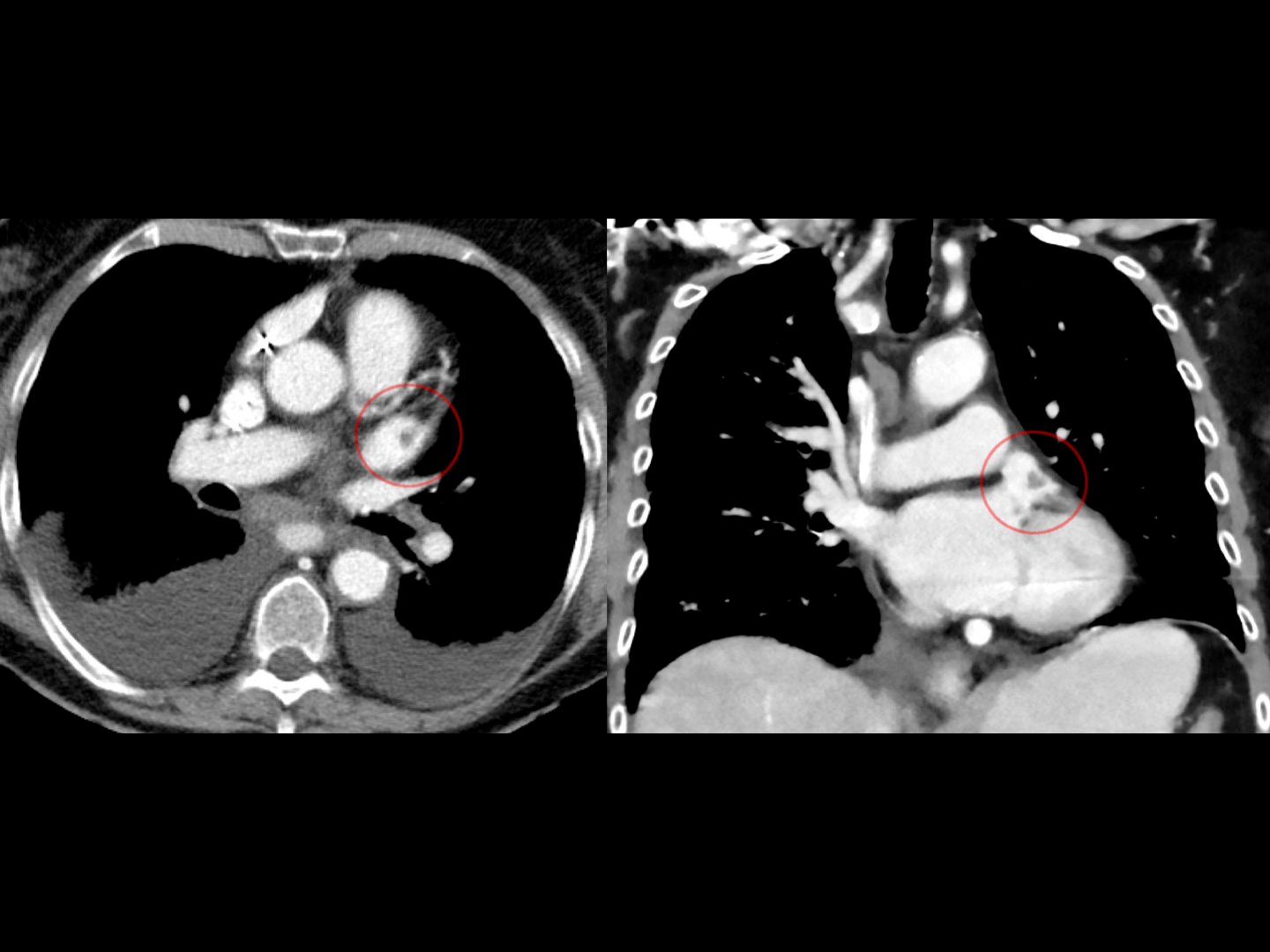
Auch im CT mit Kontrastmittel kann ein Thrombus als Aussparung des Kontrastmittels gesehen werden.
Quelle: CC BY-SA 3.0 "Zufallsbefund eines Thrombus im linken Herzohr bei einer 92-jährigen in der Computertomographie. Links axial, rechts koronar.". Wikimedia Commons. User: Hellerhoff

Klassisches Sägezahnmuster der Nulllinie beim Vorhofflattern. Siehe Video
Quelle: CC BY-SA 4.0 What is atrial flutter? Atrial flutter is an atrial arrhythmia where the atria contract at extremely high rates as a result of a reentrant circuit. This video describes the known pathophysiology for atrial flutter, as well as the two types, signs and symptoms, complications, and treatment. Wikimedia Commons. User: Osmosis

Häufig findet man beim Vorhofflattern eine 3:1 oder 4:1-Überleitung.
Quelle: CC BY-SA 3.0 "A 12 lead ECG showing atrial flutter". Wikimedia Commons. User: James Heilman, MD

Eine 2:1-Überleitung ist beim Vorhofflattern auch häufig, jedoch schwer zu erkennen, weil der QRS-Komplex eine Vorhoferregung überdeckt (gelber “überdeckter” Sägezahn-Komplex). Bei jeder “supraventrikulären Tachykardie” mit Frequenzen über 150 sollte daher an Vorhofflattern gedacht werden. Durch Vagusstimulation (Valsalva-Manöver, Carotisdruck) oder Adenosin kann die Frequenz gesenkt werden, wodurch das Sägezahnmuster sich offenbaren kann.
Quelle: CC BY-SA 3.0 "A 12 lead ECG showing atrial flutter". Wikimedia Commons. User: James Heilman, MD

Achtung! Vor Therapiebeginn mit Betablockern zum Beispiel sollte auf ein Präexzitationssyndrom geachtet werden, das sich durch eine Delta-Welle im EKG bemerkbar machen kann.
Quelle: CC BY-SA 3.0 "A characteristic delta wave seen in a patient with WPW. Note short PR interval.". Wikimedia Commons. User: James Heilman, MD

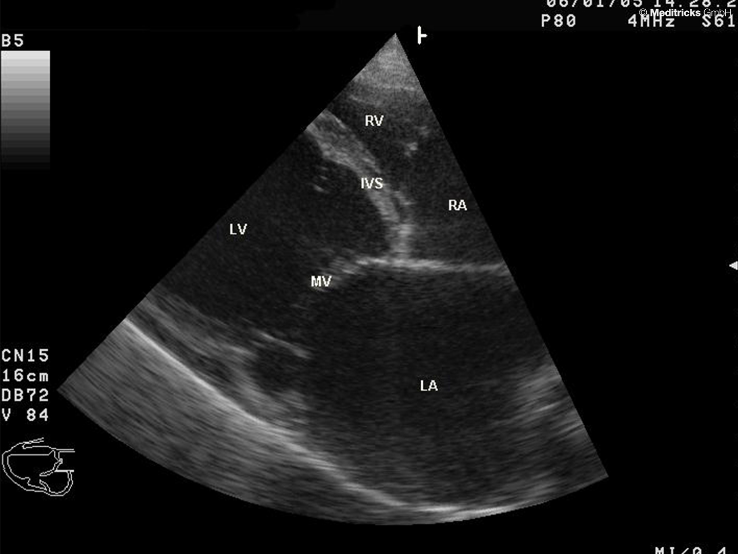
Mit LA beschriftet der riesige linke Vorhof (left atrium). Eine Vorhofdilatation (hier bei dilatativer Kardiomyopathie) gilt als Risikofaktor fürs Vorhofflimmern, ist also oft damit vergesellschaftet.
Quelle: CC BY-SA 3.0 "Dilated cardiomyopathy B-Mode". Wikimedia Commons. User: Kalumet
fAsdnn34#SD6%4mgLS9(#k-mn
https://www.meditricks.de/wp-content/plugins/meditricks-mt-quiz/include/
n
51163
Was ist Ankizin?
Ankizin ist ein Projekt der AG Medizinische-Ausbildung bvmd e.V.
Es ist das größte non-profit, studentisch organisierte Anki-Projekt im deutschsprachigen Raum.
Ziel ist die Umsetzung des gesamten notwendigen Wissens für alle medizinischen Staatsexamina.
In freundlicher Kooperation bieten wir im Ankizin-Deck passgenau unsere Merkhilfen in den jeweiligen Anki-Karten an. Die so verknüpften Fragen kannst Du mit freundlicher Genehmigung der bvmd auch hier als Quiz ansehen.
Du findest alle Inhalte auch im Ankizin-Deck in Anki.
Es ist das größte non-profit, studentisch organisierte Anki-Projekt im deutschsprachigen Raum.
Ziel ist die Umsetzung des gesamten notwendigen Wissens für alle medizinischen Staatsexamina.
In freundlicher Kooperation bieten wir im Ankizin-Deck passgenau unsere Merkhilfen in den jeweiligen Anki-Karten an. Die so verknüpften Fragen kannst Du mit freundlicher Genehmigung der bvmd auch hier als Quiz ansehen.
Du findest alle Inhalte auch im Ankizin-Deck in Anki.




1
Diagnostik > Klinische Diagnostik
Puls-Puma: Irre mit Defizit-Pfeilen
Die arrhythmische Herzaktivität ist als irregulärer Puls zu tasten. Außerdem kann es zu einem Pulsdefizit kommen: Bei einer zu schnellen Ventrikelüberleitung sinkt die Kontraktionskraft mancher Schläge: Nicht jeder Puls, den man auskultatorisch hört, ist peripher auch spürbar.
alles
anzeigen
2
Diagnostik > Klinische Diagnostik
Hört sich an: Herz-Tonband mit unterschiedlich lauten Tönen
Der 1. Herzton wird durch die Ventrikelkontraktion verursacht. Bei arrhythmischer Tachykardie kann es zu abgeschwächten Ventrikelkontraktionen kommen, was zu unterschiedlich lauten 1. Herztönen führt.
alles
anzeigen
3
Diagnostik > EKG
EKG-Roboter EELA: Goldritterin
Vorhofflimmern hat im EKG mehrere typische Charakteristika.
alles
anzeigen
4
Diagnostik > EKG
Trägt nie Pelz
Eine regelmäßige und gleich aussehende P-Welle [[Abb. 8511]] fehlt.
alles
anzeigen
5
Diagnostik > EKG
Spinner beim Wellenreiten gesichtet: Wellen unterschiedlich groß
Eine isoelektrische Grundlinie fehlt. Stattdessen sind Flimmerwellen zu sehen, häufig besonders gut in V1 und II. Flimmerwellen sind im Gegensatz zur P-Welle nicht einheitlich [[Abb. 8511]] konfiguriert.
alles
anzeigen
6
Diagnostik > EKG
Unregelmäßige KeRkeR-Zellen
Die unregelmäßige Ventrikelerregung stellt sich als unregelmäßiges RR-Intervall dar (EKG-Korrelat der Arrhythmia absoluta).
alles
anzeigen
7
Diagnostik > EKG
In schmalem Spalt: QRuSel-Geist
Da das Problem supraventrikulär liegt, ist die Kammererregung in Form des QRS-Komplexes unauffällig.
alles
anzeigen
8
Diagnostik > EKG
Hund: Tacho
Häufig sind Tachykardien – man spricht von der Tachyarrhythmia absoluta. Achtung: Wenn man von Tachykardie oder Bradykardie im Rahmen des VHF spricht, meint man die Kammerfrequenz.
alles
anzeigen
9
Diagnostik > EKG
Herzschnecke: auf Puma mit Nympf-Zacken
Seltener treten auch Bradykardien im Rahmen des Vorhofflimmerns auf.
alles
anzeigen
10
Diagnostik > EKG
EKG-Roboter EELA hypertroph
Im EKG können Zeichen der Herzhypertrophie wegweisend sein. Eine Hypertrophie aufgrund chronischer Volumen- und Druckbelastung kann eine mögliche Ursache des VHF sein.
alles
anzeigen
10/29
11
Diagnostik > EKG
Lange Uhr hinter EKG-Roboter EELA
Auch wenn das EKG in der Klinik oder Notaufnahme normal ist, sollte zum Ausschluss eines paroxysmalen VHF bei entsprechendem Verdacht großzügig ein Langzeit-EKG erfolgen.
alles
anzeigen
12
Diagnostik > Echokardiographie
Fledermaus
Eine echokardiographische Untersuchung ist aus zwei Gründen sinnvoll. Es können einerseits strukturelle Ursachen und Folgen des VHF gesehen werden. Außerdem können Thromben ausgeschlossen werden.
alles
anzeigen
13
Diagnostik > Echokardiographie
Dilatierte Vorhof-förmige Ohren mit Dill
Oft ist eine Vorhofdilatation [[Abb. 8588]] die Folge einer Volumen- oder Druckbelastung des Herzens. Das kann eine Ursache für VHF sein.
alles
anzeigen
14
Diagnostik > Echokardiographie
Helmklappe kaputt
Klappenvitien können zur Druckbelastung und Dilatation führen. Der echokardiographische Nachweis von Klappenvitien wie der Mitralklappenstenose kann therapiebestimmend sein.
alles
anzeigen
15
Diagnostik > Echokardiographie
Nur 1 Tropfen Blut aus Herz-Flasche
Die verringerte Ejektionsfraktion ist meistens durch die über lange Zeit bestehende Tachykardie bedingt. Man spricht auch von Tachykardiomyopathie.
alles
anzeigen
16
Diagnostik > Echokardiographie
Muskuläre Fledermaus
Wie beim EKG werden auch echokardiographische Hinweise für hypertrophische Veränderungen des Herzmuskels gesammelt.
alles
anzeigen
17
Diagnostik > Echokardiographie
Trompete mit Tee wird wird weggeschickt
Prinzipiell kann eine echokardiographische Untersuchung transthorakal erfolgen (TTE) oder transösophageal (TEE). Zum Ausschluss von Thromben z.B. vor einer Kardioversion ist eine TEE [[Abb. 8522]] zu empfehlen. Prinzipiell kann ein Thrombus auch im CT mit KM [[Abb. 8533]] gesehen werden.
alles
anzeigen
18
Diagnostik > Labor
Laborratte: Uhren
VHF wird im EKG diagnostiziert. Im Labor wird nach Ursachen gesucht.
alles
anzeigen
19
Diagnostik > Labor
Elektro-Fesseln: Schlaffe Banane, Magnet
Gezielt sollten Kalium und Magnesium begutachtet werden, da sowohl eine Hypokaliämie als auch eine Hypomagnesiämie VHF begünstigen. Wie bei jeder Herzrhythmusstörung müssen also die Elektrolyte bestimmt werden. Hier werden Verdächtige ausgefragt.
alles
anzeigen
20
Diagnostik > Labor
Schmetterling macht Mohn-Getränk
Die Bestimmung der Schilddrüsenhormone (TSH, T3, T4) gehört zu jeder Abklärung eines VHF dazu, da eine Schilddrüsenüberfunktion eine häufige Ursache des Vorhofflimmerns ist!
alles
anzeigen
21
Diagnostik > Labor
Gehirn wird gesalzen
Als Marker für die Herzinsuffizienz kann das BNP bei entsprechender Symptomatik bestimmt werden.
alles
anzeigen
22
Diagnostik > Weitere Diagnostik
Hängender Skelett-Thorax
Im Röntgen Thorax können sich Hinweise auf Ursachen und auf Folgen ergeben (COPD, Pneumonie, Kardiomegalie).
alles
anzeigen
23
Differentialdiagnosen > Vorhofflattern
Flatter-Falter: Schnecke + rote Regelblutung
Beim Vorhofflattern ist die elektrische Aktivität des Vorhofs etwas langsamer (250-450/Min) als beim VHF und regelmäßig (Regelblutung der Schnecke). Auch die RR-Intervalle und Kammeraktivität sind regelmäßig!
alles
anzeigen
24
Differentialdiagnosen > Vorhofflattern
Sägezähne
Im EKG kommt es zu einem typischen Sägezahnmuster [[Abb. 8566]] anstelle von P-Wellen. Die Morphologie der Vorhoferregung ändert sich im Gegensatz zum VHF nicht ständig. Die isoelektrische Grundlinie fehlt aber auch hier.
alles
anzeigen
25
Differentialdiagnosen > Vorhofflattern
Kreisrundes Elektroschild: große Rentier-Hörner
Auch beim Vorhofflattern kommt es zu kreisenden Erregungen. Sie gehen von einem Zentrum im rechten oder linken Vorhof aus. Der Radius der kreisenden Erregung ist beim Vorhofflattern jedoch größer (“Makro-Reentry-Erregung”).
alles
anzeigen
26
Differentialdiagnosen > Vorhofflattern
Pfau-Knoten mit Sieb-Kopf → Kabel vs. Multikabel
Eine 1:1-Überleitung ist auf Dauer fatal (z.B. bei einer VH-Frequenz von >300/Min). Meist kommt es jedoch zur 2:1-, 3:1- und 4:1-Überleitung [[Abb. 8555]] von Vorhoferregung auf die Kammer.
alles
anzeigen
Extra Info / Trivia
Eine 2:1-Überleitung ist häufig, jedoch schwer zu erkennen, weil der QRS-Komplex eine Vorhoferregung überdeckt (s. Abb). Bei jeder supraventrikulären Tachykardie sollte daher an Vorhofflattern gedacht werden. Durch Vagusstimulation (Valsalva-Manöver, Carotisdruck) oder Adenosin kann die Frequenz gesenkt werden, wodurch das Sägezahnmuster sich offenbaren kann.
Eine 2:1-Überleitung ist häufig, jedoch schwer zu erkennen, weil der QRS-Komplex eine Vorhoferregung überdeckt (s. Abb). Bei jeder supraventrikulären Tachykardie sollte daher an Vorhofflattern gedacht werden. Durch Vagusstimulation (Valsalva-Manöver, Carotisdruck) oder Adenosin kann die Frequenz gesenkt werden, wodurch das Sägezahnmuster sich offenbaren kann.
27
Differentialdiagnosen > Präexzitationssyndrome
Prähistorische Echse: Akzessorischer Elektroschwanz
Bei den sog. Präexzitationssyndromen [[Abb. 8577]] können Impulse vom Vorhof über akzessorische AV-Leitungsbahnen verfrüht auf die Ventrikel übertragen werden. Es ist für die Therapieentscheidung hochrelevant, Präexzitationssyndrome zu beachten!
alles
anzeigen
28
Differentialdiagnosen > Präexzitationssyndrome
Lollis füttern verboten → Flimmernde Schreckenskammer
Oft besteht die Therapie von VHF in einer negativ chronotropen Frequenzkontrolle, zum Beispiel durch Betablocker mit der Endung -olol (Lolli). Diese dürfen bei Präexzitationssyndromen jedoch nicht gegeben werden, weil es zu Kammerflimmern kommen kann.
alles
anzeigen
29
Differentialdiagnosen > Präexzitationssyndrome
Zelt-Welle
Die akzessorischen Leitungsbahnen können an einer Deltawelle (“Schulter”) zu erkennen sein. Diese ist bei Vorhofflimmern jedoch oft nicht erkennbar.
alles
anzeigen

Vorhofflimmern im EKG - Vorhofflimmern im EKG: Fehlende P-Welle, Flimmerwellen, unregelmäßige RR-Abstände, schmalem QRS. Geht oft mit Tachykardie einher, manchmal mit Bradykardie.
Quelle: CC BY-SA 3.0 "Vorhofflimmern (oben) und Sinusrhythmus (unten) schematisch." Wikimedia Commons User: J. Heuser
Quelle: CC BY-SA 3.0 "Vorhofflimmern (oben) und Sinusrhythmus (unten) schematisch." Wikimedia Commons User: J. Heuser

Mobiler Thrombus im linken Vorhof - Mobiler Thrombus im linken Vorhof im TEE. Siehe Video
Quelle: CC BY 3.0 "The Supplementary Video shows transesophageal echocardiogram in the midesophageal long axis view. There is significant smoke in the left atrium and a mobile thrombus can be seen in the left atrium.". Wikimedia Commons. User: Shah P, Mithawala P, Konlian D, Soyombo A, Bikkina M.
Quelle: CC BY 3.0 "The Supplementary Video shows transesophageal echocardiogram in the midesophageal long axis view. There is significant smoke in the left atrium and a mobile thrombus can be seen in the left atrium.". Wikimedia Commons. User: Shah P, Mithawala P, Konlian D, Soyombo A, Bikkina M.

CT Vorhofthrombus - Auch im CT mit Kontrastmittel kann ein Thrombus als Aussparung des Kontrastmittels gesehen werden.
Quelle: CC BY-SA 3.0 "Zufallsbefund eines Thrombus im linken Herzohr bei einer 92-jährigen in der Computertomographie. Links axial, rechts koronar.". Wikimedia Commons. User: Hellerhoff
Quelle: CC BY-SA 3.0 "Zufallsbefund eines Thrombus im linken Herzohr bei einer 92-jährigen in der Computertomographie. Links axial, rechts koronar.". Wikimedia Commons. User: Hellerhoff

Vorhofflattern (Video) - Klassisches Sägezahnmuster der Nulllinie beim Vorhofflattern. Siehe Video
Quelle: CC BY-SA 4.0 What is atrial flutter? Atrial flutter is an atrial arrhythmia where the atria contract at extremely high rates as a result of a reentrant circuit. This video describes the known pathophysiology for atrial flutter, as well as the two types, signs and symptoms, complications, and treatment. Wikimedia Commons. User: Osmosis
Quelle: CC BY-SA 4.0 What is atrial flutter? Atrial flutter is an atrial arrhythmia where the atria contract at extremely high rates as a result of a reentrant circuit. This video describes the known pathophysiology for atrial flutter, as well as the two types, signs and symptoms, complications, and treatment. Wikimedia Commons. User: Osmosis

3:1 bis 4:1-Überleitung. - Häufig findet man beim Vorhofflattern eine 3:1 oder 4:1-Überleitung.
Quelle: CC BY-SA 3.0 "A 12 lead ECG showing atrial flutter". Wikimedia Commons. User: James Heilman, MD
Quelle: CC BY-SA 3.0 "A 12 lead ECG showing atrial flutter". Wikimedia Commons. User: James Heilman, MD

Vorhofflattern - Eine 2:1-Überleitung ist beim Vorhofflattern auch häufig, jedoch schwer zu erkennen, weil der QRS-Komplex eine Vorhoferregung überdeckt (gelber “überdeckter” Sägezahn-Komplex). Bei jeder “supraventrikulären Tachykardie” mit Frequenzen über 150 sollte daher an Vorhofflattern gedacht werden. Durch Vagusstimulation (Valsalva-Manöver, Carotisdruck) oder Adenosin kann die Frequenz gesenkt werden, wodurch das Sägezahnmuster sich offenbaren kann.
Quelle: CC BY-SA 3.0 "A 12 lead ECG showing atrial flutter". Wikimedia Commons. User: James Heilman, MD
Quelle: CC BY-SA 3.0 "A 12 lead ECG showing atrial flutter". Wikimedia Commons. User: James Heilman, MD

Präexzitationssyndrome: Delta-Welle - Achtung! Vor Therapiebeginn mit Betablockern zum Beispiel sollte auf ein Präexzitationssyndrom geachtet werden, das sich durch eine Delta-Welle im EKG bemerkbar machen kann.
Quelle: CC BY-SA 3.0 "A characteristic delta wave seen in a patient with WPW. Note short PR interval.". Wikimedia Commons. User: James Heilman, MD
Quelle: CC BY-SA 3.0 "A characteristic delta wave seen in a patient with WPW. Note short PR interval.". Wikimedia Commons. User: James Heilman, MD

Vorhofdilatation beim Vorhofflimmern - Mit LA beschriftet der riesige linke Vorhof (left atrium). Eine Vorhofdilatation (hier bei dilatativer Kardiomyopathie) gilt als Risikofaktor fürs Vorhofflimmern, ist also oft damit vergesellschaftet.
Quelle: CC BY-SA 3.0 "Dilated cardiomyopathy B-Mode". Wikimedia Commons. User: Kalumet
Quelle: CC BY-SA 3.0 "Dilated cardiomyopathy B-Mode". Wikimedia Commons. User: Kalumet
Meine Notizen
|
Rückmeldung
Unsere Meditricks wurden mit viel Liebe ersonnen, illustriert und vertont. Gib uns gerne Lob, Kritik über die Feedback-Funktion unter den Meditricks oder schreib uns – siehe Kontakt.
Gereift unter der Sonne Freiburgs. mit viel Liebe zum Detail ersonnen, illustriert und vertont. Wir übernehmen keine Haftung für nicht mehr löschbare Erinnerungen.