Allgemein
Giardia lamblia
Im botanischen Garten: Lämmer-Lampen-Party
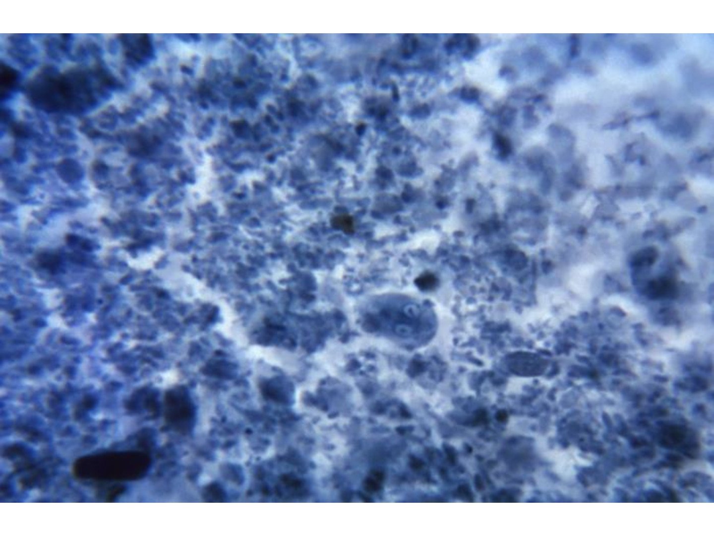
Der Einzeller Giardia lamblia löst die Giardiasis aus (Abb. 25049 und Abb. 250).
1/32
Allgemein
Protozoen
"Pro Zoo" Werbung
Giardien sind Protozoen, d.h. einzellige Eukaryoten (Abb. 25049 und Abb. 250).
2/32
Allgemein
Syn. "Beaver-Fever"
Bieber + Fieber-Bär
In Kanada heißt die Giardiasis auch Beaver-Fever (Bieber-Fieber), da dort die Übertragung durch in Seen und Flüsse kotende Kleintiere stattfindet.
3/32
Allgemein
V.a. (Sub-)Tropen + Südeuropa, aber 2/3 der Infektionen aus D
Tropenhaus, Deutschlandflagge
4/32
Allgemein
Häufigste Protozoeninfektion bei Tropenrückkehrenden
#1 Tropenhut
Also immer an die Reiseanamnese denken!
5/32
Allgemein
Übertragung fäkal-oral → Trinkwasser, Lebensmittel
Hundehäufchen → vom mit Trinkflasche gefütterten Hund
6/32
Allgemein
Erregerreservoir: Mensch, Rind, Haustiere
Schäfer, Kalb, Hütehund
7/32
Allgemein
V.a. junge Erwachsene + Kinder betroffen
Junger Schäfer + Schaf-Kinder
8/32
Allgemein
Inkubationszeit 7-10 d
Kuh m. Zwergenmütze
9/32
Allgemein
Meldepflicht
"Hmm, das sollte ich melden."
Bei akuter Infektion und einem direkten/indirekten Erregernachweis herrscht Meldepflicht.
10/32
Pathophysiologie > Zyklus
(1/3) Aufnahme v. Zyste durch z.B. Trinkwasser
(1/3) Zyste im Wasserfall
11/32
Pathophysiologie > Zyklus
(2/3) Vermehrung als Trophozoit im Dünndarm
(2/3) Trophäen-Trophozoit auf Mikrowelle
Die Zysten wandeln sich zu Trophozoiten um, haften am Dünndarmepithel an und vermehren sich dort.
12/32
Pathophysiologie > Zyklus
(3/3) Ausscheidung v. Zysten
(3/3) Aus Mikrowelle springende Zyste
Anschließend erfolgt die Umwandlung von Trophoiten zu Zysten, die Ausscheidung und darauf die Zykluswiederaufnahme.
13/32
Pathophysiologie > Zyklus
Zysten = resistente, ovale, vierkernige Dauerform
Zyste m. Regenschirm (= resistent gegen Wasser)
Der Entwicklungszyklus der Giardien beginnt mit der resistenten Dauerform. Diese liegt als vierkernige ovale Zyste vor.
14/32
Pathophysiologie > Zyklus
Trophozoiten = fortpflanzungsfähige, zweikernige Form
Trophozoit in Trophäe
Die Zysten können sich zur fortpflanzungsfähigen Trophozoitenform weiterentwickeln. Diese sind ebenfalls oval, besitzen aber nur 2 Kerne, dafür jedoch 4 Geißeln zur Fortbewegung (Abb. 251).
15/32
Pathophysiologie > Überleben
Wochen-/monatelanges Überleben in feuchter Umgebung
Wasserfall, Dampf
Die Giardien können in feuchter Umgebung (daher auch häufig in den Tropen) wochen-/monatelang überleben.
16/32
Pathophysiologie > Überleben
Anhaftung an Mikrovilli + Phagozytose v. Darminhalt
Trophäe auf Mikrowelle + Kalb knabbert an Mikrowelle
Die Trophozoiten haften sich an die Mikrovilli des Dünndarmepithels an. Von dort nehmen sie durch Phagozytose Darminhalt zu sich.
17/32
Klinik
Asymptomatischer Verlauf möglich
Fröhliches Lamm
18/32
Klinik
Sekretorische Diarrhö, Fettstühle
Sekflasche bei kackendem Lamm, auf gelbem Stuhl
19/32
Klinik
Malabsorption m. (starkem) Gewichtsverlust
Ausgemergeltes Lamm
Durch das "Mitessen" der Giardien im Darm kommt es zur Malabsorption und folglich zur Gewichtsabnahme bis hin zur Anorexie.
20/32
Klinik
Grippeähnliche Symptome
Gerippe
21/32
Klinik
Meteorismus
Meteorit
Meteorismus = Blähungen
22/32
Klinik
Übelkeit/Erbrechen
Erbrechendes Lamm
Übelkeit und Erbrechen sind typische Symptome.
23/32
Klinik
Häufig Besserung nach 2-3 Wochen
Fröhliches Lamm m. Peace-Zeichen (2 Finger)
24/32
Klinik
Pankreatitis, Gallengangentzündung bei Immundefizienz
Punk-Lamm, grünes Fell, Aidsschleife
Bei massivem Befall oder Immundefizienz bspw. im Rahmen einer AIDS-Erkrankung treten häufiger Pankreatitis oder Gallengangsentzündungen auf.
25/32
Klinik
Chronischer Verlauf: Laktoseintoleranz möglich
Angewiderter Blick auf Milchflasche
Bei chronischer Giardiasis kann das Dünndarmepithel langfristig geschädigt werden und eine Laktoseintoleranz auftreten.
26/32
Diagnostik
Goldstandard = 3 Stuhlmikroskopien m. Zysten + Trophozoiten
In Gold: 3 Stühle von Taschenlampenlicht angeschienen
Der Goldstandard zur Diagnostik ist der mikroskopische Nachweis von Zysten und Trophozoiten in 3 Stuhlproben, optimalerweise an verschiedenen Tagen.
27/32
Diagnostik
ELISA zum Antigennachweis
Gartenwärterin Elisa
28/32
Diagnostik
Direkte Immunfluoreszenzverfahren m. monoklonalen AK
Fluoreszierende AK-Kette
29/32
Diagnostik
Duodenoskopie m. Trophozoitennachweis
Endoskop
V.a. bei immungeschwächten Patienten oder bei starkem Verdacht und negativer Stuhlprobe kann eine Endoskopie m. Biopsie hilfreich sein.
30/32
Therapie
Metronidazol
Metrostation
Zur Therapie gibt man Metronidazol parallel zur symptomatischen Therapie.
31/32
Therapie
Albendazol
Gebogene (engl. bend) Metallstange
Alternativ zu Metronidazol gibt man Albendazol.
32/32
schließen
Der Einzeller Giardia lamblia löst die Giardiasis aus. Giardien sind Protozoen, d.h. einzellige Eukaryoten.
Quelle: CDC, CCo, Public Health Image Library (PHIL), ID 11632
Der Einzeller Giardia lamblia löst die Giardiasis aus. Giardien sind Protozoen, d.h. einzellige Eukaryoten.
Quelle: CDC, CCo, Public Health Image Library (PHIL), ID 22463
Die Zysten können sich zur fortpflanzungsfähigen Trophozoitenform weiterentwickeln. Diese sind ebenfalls oval, besitzen aber nur 2 Kerne aber dafür 4 Geißeln zur Fortbewegung.
Quelle: Photo by Eva Nohýnková, Department of Tropical Medicine, 1st Faculty of Medicine, Charles University in Prague and Hospital Bulovka, Czech Republic. Image in paper by Marie Lipoldova, Laboratory of Molecular and Cellular Immunology, Institute of Molecular Genetics, Academy of Sciences of the Czech Republic, Prague, Czech Republic, CC BY 4.0, via Wikimedia Commons
fAsdnn34#SD6%4mgLS9(#k-mn
https://www.meditricks.de/wp-content/plugins/meditricks-mt-quiz/include/
n
33926
Was ist Ankizin?
Ankizin ist ein Projekt der AG Medizinische-Ausbildung bvmd e.V.
Es ist das größte non-profit, studentisch organisierte Anki-Projekt im deutschsprachigen Raum.
Ziel ist die Umsetzung des gesamten notwendigen Wissens für alle medizinischen Staatsexamina.
In freundlicher Kooperation bieten wir im Ankizin-Deck passgenau unsere Merkhilfen in den jeweiligen Anki-Karten an. Die so verknüpften Fragen kannst Du mit freundlicher Genehmigung der bvmd auch hier als Quiz ansehen.
Du findest alle Inhalte auch im Ankizin-Deck in Anki.
Es ist das größte non-profit, studentisch organisierte Anki-Projekt im deutschsprachigen Raum.
Ziel ist die Umsetzung des gesamten notwendigen Wissens für alle medizinischen Staatsexamina.
In freundlicher Kooperation bieten wir im Ankizin-Deck passgenau unsere Merkhilfen in den jeweiligen Anki-Karten an. Die so verknüpften Fragen kannst Du mit freundlicher Genehmigung der bvmd auch hier als Quiz ansehen.
Du findest alle Inhalte auch im Ankizin-Deck in Anki.



1
Allgemein
Im botanischen Garten: Lämmer-Lampen-Party
Der Einzeller Giardia lamblia löst die Giardiasis aus ( und Abb. 2).
alles
anzeigen
2
Allgemein
"Pro Zoo" Werbung
Giardien sind Protozoen, d.h. einzellige Eukaryoten ( und Abb. 2).
alles
anzeigen
3
Allgemein
Bieber + Fieber-Bär
In Kanada heißt die Giardiasis auch Beaver-Fever (Bieber-Fieber), da dort die Übertragung durch in Seen und Flüsse kotende Kleintiere stattfindet.
alles
anzeigen
4
Allgemein
Tropenhaus, Deutschlandflagge
5
6
Allgemein
Hundehäufchen → vom mit Trinkflasche gefütterten Hund
7
8
9
10
Allgemein
"Hmm, das sollte ich melden."
Bei akuter Infektion und einem direkten/indirekten Erregernachweis herrscht Meldepflicht.
alles
anzeigen
11
Pathophysiologie > Zyklus
(1/3) Zyste im Wasserfall
12
Pathophysiologie > Zyklus
(2/3) Trophäen-Trophozoit auf Mikrowelle
Die Zysten wandeln sich zu Trophozoiten um, haften am Dünndarmepithel an und vermehren sich dort.
alles
anzeigen
13
Pathophysiologie > Zyklus
(3/3) Aus Mikrowelle springende Zyste
Anschließend erfolgt die Umwandlung von Trophoiten zu Zysten, die Ausscheidung und darauf die Zykluswiederaufnahme.
alles
anzeigen
14
Pathophysiologie > Zyklus
Zyste m. Regenschirm (= resistent gegen Wasser)
Der Entwicklungszyklus der Giardien beginnt mit der resistenten Dauerform. Diese liegt als vierkernige ovale Zyste vor.
alles
anzeigen
15
Pathophysiologie > Zyklus
Trophozoit in Trophäe
Die Zysten können sich zur fortpflanzungsfähigen Trophozoitenform weiterentwickeln. Diese sind ebenfalls oval, besitzen aber nur 2 Kerne, dafür jedoch 4 Geißeln zur Fortbewegung (Abb. 3).
alles
anzeigen
16
Pathophysiologie > Überleben
Wasserfall, Dampf
Die Giardien können in feuchter Umgebung (daher auch häufig in den Tropen) wochen-/monatelang überleben.
alles
anzeigen
17
Pathophysiologie > Überleben
Trophäe auf Mikrowelle + Kalb knabbert an Mikrowelle
Die Trophozoiten haften sich an die Mikrovilli des Dünndarmepithels an. Von dort nehmen sie durch Phagozytose Darminhalt zu sich.
alles
anzeigen
18
19
Klinik
Sekflasche bei kackendem Lamm, auf gelbem Stuhl
20
Klinik
Ausgemergeltes Lamm
Durch das "Mitessen" der Giardien im Darm kommt es zur Malabsorption und folglich zur Gewichtsabnahme bis hin zur Anorexie.
alles
anzeigen
21
22
23
24
25
Klinik
Punk-Lamm, grünes Fell, Aidsschleife
Bei massivem Befall oder Immundefizienz bspw. im Rahmen einer AIDS-Erkrankung treten häufiger Pankreatitis oder Gallengangsentzündungen auf.
alles
anzeigen
26
Klinik
Angewiderter Blick auf Milchflasche
Bei chronischer Giardiasis kann das Dünndarmepithel langfristig geschädigt werden und eine Laktoseintoleranz auftreten.
alles
anzeigen
27
Diagnostik
In Gold: 3 Stühle von Taschenlampenlicht angeschienen
Der Goldstandard zur Diagnostik ist der mikroskopische Nachweis von Zysten und Trophozoiten in 3 Stuhlproben, optimalerweise an verschiedenen Tagen.
alles
anzeigen
28
29
Diagnostik
Fluoreszierende AK-Kette
30
Diagnostik
Endoskop
V.a. bei immungeschwächten Patienten oder bei starkem Verdacht und negativer Stuhlprobe kann eine Endoskopie m. Biopsie hilfreich sein.
alles
anzeigen
31
Therapie
Metrostation
Zur Therapie gibt man Metronidazol parallel zur symptomatischen Therapie.
alles
anzeigen
32
Therapie
Gebogene (engl. bend) Metallstange
Alternativ zu Metronidazol gibt man Albendazol.
alles
anzeigen
Giardia lamblia - Der Einzeller Giardia lamblia löst die Giardiasis aus. Giardien sind Protozoen, d.h. einzellige Eukaryoten.
Quelle: CDC, CCo, Public Health Image Library (PHIL), ID 11632
Quelle: CDC, CCo, Public Health Image Library (PHIL), ID 11632
- Der Einzeller Giardia lamblia löst die Giardiasis aus. Giardien sind Protozoen, d.h. einzellige Eukaryoten.
Quelle: CDC, CCo, Public Health Image Library (PHIL), ID 22463
Quelle: CDC, CCo, Public Health Image Library (PHIL), ID 22463
Trophozoiten - Die Zysten können sich zur fortpflanzungsfähigen Trophozoitenform weiterentwickeln. Diese sind ebenfalls oval, besitzen aber nur 2 Kerne aber dafür 4 Geißeln zur Fortbewegung.
Quelle: Photo by Eva Nohýnková, Department of Tropical Medicine, 1st Faculty of Medicine, Charles University in Prague and Hospital Bulovka, Czech Republic. Image in paper by Marie Lipoldova, Laboratory of Molecular and Cellular Immunology, Institute of Molecular Genetics, Academy of Sciences of the Czech Republic, Prague, Czech Republic, CC BY 4.0, via Wikimedia Commons
Quelle: Photo by Eva Nohýnková, Department of Tropical Medicine, 1st Faculty of Medicine, Charles University in Prague and Hospital Bulovka, Czech Republic. Image in paper by Marie Lipoldova, Laboratory of Molecular and Cellular Immunology, Institute of Molecular Genetics, Academy of Sciences of the Czech Republic, Prague, Czech Republic, CC BY 4.0, via Wikimedia Commons
Meine Notizen
|
Rückmeldung
Unsere Meditricks wurden mit viel Liebe ersonnen, illustriert und vertont. Gib uns gerne Lob, Kritik über die Feedback-Funktion unter den Meditricks oder schreib uns – siehe Kontakt.
Gereift unter der Sonne Freiburgs. mit viel Liebe zum Detail ersonnen, illustriert und vertont. Wir übernehmen keine Haftung für nicht mehr löschbare Erinnerungen.

Quint




